Wichtiger Sicherheitshinweis: Pathorama wurde zwischen dem 26. und 27. Dezember 2025 angegriffen. Falls Sie die Website in diesem Zeitraum besucht haben, lesen Sie bitte die wichtigen Informationen hier:
Zur Information

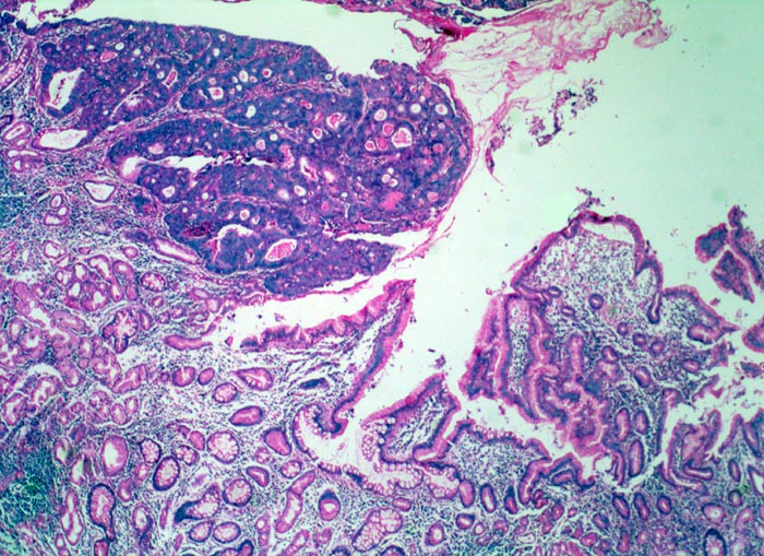
PathoPic – image database / PathoPic ID 5057 - Magenfrühkarzinom

de
Diagnose
Magenfrühkarzinom
Diagnose Gruppe
maligner Tumor
Topographie
Magenantrum
Topographie Gruppe
Oesophagus, Magen
Beschreibung
Die Lamina propria der Antrumschleimhaut ist entzündlich infiltriert. Neben Schleimdrüsen vom Antrumtyp finden sich zahlreiche metaplastische Drüsen mit Becherzellen. Die Mukosa wird von einem polypoiden scharf begrenzten Tumor infiltriert. Aufgrund der vergrösserten Kerne ist das Tumorgewebe deutlich basophiler als die Drüsen der Mukosa. Der Tumor bildet dos à dos liegende Drüsen (kribriformes Wachstumsmuster).
Zusatzbefund
Polypoider Tumor im Magenantrum.
Klinik
Endoskopische Kontrolle bei Patient mit bekannter chronischer Gastritis.
Kommentar
Intramukosal lokalisierte Karzinome des Magens können im Gegensatz zu Adenomen des Kolons in die Lymphknoten metastasieren, obwohl das Karzinom die Lamina muscularis mucosae noch nicht durchbrochen hat.
Bilder Typ
Histologie
Vergrösserung
25
Alter
68
Geschlecht
unbekannt
Datum
Ersteintrag: 05.07.2002