Wichtiger Sicherheitshinweis: Pathorama wurde zwischen dem 26. und 27. Dezember 2025 angegriffen. Falls Sie die Website in diesem Zeitraum besucht haben, lesen Sie bitte die wichtigen Informationen hier:
Zur Information

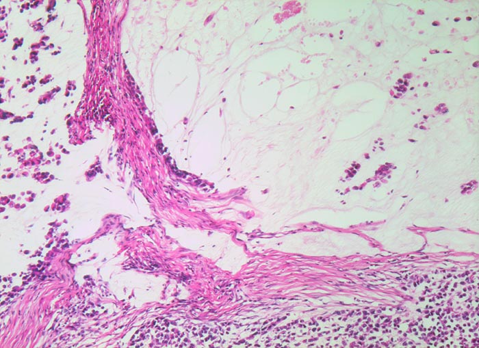
PathoPic – image database / PathoPic ID 5055 - Adenokarzinom mit muzinöser Differenzierung

de
Diagnose
Adenokarzinom mit muzinöser Differenzierung
Diagnose Gruppe
maligner Tumor
Topographie
Magenantrum
Topographie Gruppe
Oesophagus, Magen
Beschreibung
Stellenweise zeigt das Karzinom eine muzinöse Differenzierung mit Bildung von extrazellulären Schleimseen. Kleine Tumorzellgruppen schwimmen im Schleim. Der Schleim wird von dichtem desmoplastischem Stroma begrenzt.
Zusatzbefund
Polypoider Tumor im Magenantrum.
Klinik
Endoskopische Kontrolle bei Patient mit bekannter chronischer Gastritis.
Kommentar
Adenokarzinome können (in absteigender Reihenfolge des Differenzierungsgrades) tubuläre, papilläre, muzinöse, siegelringzellige oder gar keine Differenzierung zeigen.
Bilder Typ
Histologie
Vergrösserung
50
Alter
68
Geschlecht
unbekannt
Datum
Ersteintrag: 06.10.2002