Wichtiger Sicherheitshinweis: Pathorama wurde zwischen dem 26. und 27. Dezember 2025 angegriffen. Falls Sie die Website in diesem Zeitraum besucht haben, lesen Sie bitte die wichtigen Informationen hier:
Zur Information

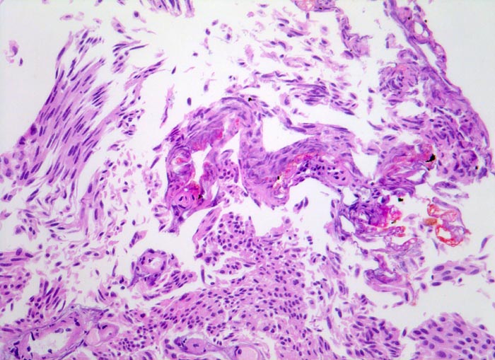
PathoPic – image database / PathoPic ID 5047 - Urothel mit Hitzeartefakt

de
Diagnose
Urothel mit Hitzeartefakt
Diagnose Gruppe
Artefakt / Fremdkörper / Pigment
Topographie
Harnblase
Topographie Gruppe
Niere, Harnwege
Beschreibung
Bei transurethral reseziertem Material finden sich oft ausgedehnte Verkochungsartefakte des Gewebes. Das hitzegeschädigte Urothel zeigt streifig ausgezogene Kerne und rötliche Koagulationsnekrosen.
Klinik
Die zystoskopische Abklärung einer Makrohämaturie ergab einen papillären Tumor an der Blasenhinterwand. Der Tumor wird transurethral reseziert.
Kommentar
Ausgedehnte Kauterartefakte können die histologische Beurteilung des Gewebes stark erschweren. Die Bestimmung des zytologischen Differenzierungsgrades und die Erkennung von invasivem Tumorwachstum sind in solchen Arealen kaum möglich.
Bilder Typ
Histologie
Vergrösserung
160
Alter
53
Geschlecht
männlich
Datum
Ersteintrag: 05.07.2002