Wichtiger Sicherheitshinweis: Pathorama wurde zwischen dem 26. und 27. Dezember 2025 angegriffen. Falls Sie die Website in diesem Zeitraum besucht haben, lesen Sie bitte die wichtigen Informationen hier:
Zur Information

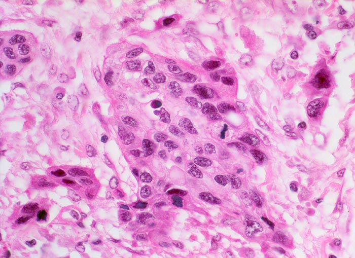
PathoPic – image database / PathoPic ID 5030 - Plattenepithelkarzinom des Ösophagus

de
Diagnose
Plattenepithelkarzinom des Ösophagus
Diagnose Gruppe
maligner Tumor
Topographie
Oesophagus, distal
Topographie Gruppe
Oesophagus, Magen
Beschreibung
Im Bereich der Tumorinvasionsfront ist das Karzinom deutlich schlechter differenziert. Neben grösseren Zellplatten hat es auch kleine Aggregate und ausserhalb eines Tumorzellverbandes liegende Einzelzellen. Das Zytoplasma ist basophil und mengenmässig deutlich reduziert. Die Tumorzellkerne sind polymorph, entrundet, hyperchromatisch und unregelmässig begrenzt. Zum Teil sind vergrösserte unregelmässig geformte Nukleolen erkennbar. Mehrere Mitosen.
Klinik
Jahrelanger Nikotin- und Ethylabusus. Vor 6 Monaten ergab die Abklärung wegen progredienter Dysphagie ein inoperables stenosierendes Karzinom im distalen Ösophagus. Der Patient verstirbt am Tumorleiden.
Bilder Typ
Histologie
Vergrösserung
400
Alter
60
Geschlecht
männlich
Datum
Ersteintrag: 13.06.2002