Wichtiger Sicherheitshinweis: Pathorama wurde zwischen dem 26. und 27. Dezember 2025 angegriffen. Falls Sie die Website in diesem Zeitraum besucht haben, lesen Sie bitte die wichtigen Informationen hier:
Zur Information

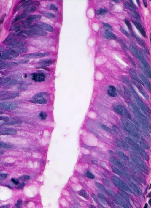
PathoPic – image database / PathoPic ID 5023 - Adenom

de
Diagnose
Adenom
Diagnose Gruppe
Präneoplasie/ Atypie/ Dignität?
Topographie
Kolon descendens
Topographie Gruppe
Darm, Anus
Beschreibung
Dichtstehende längliche vergrösserte und hyperchromatische Kerne. Vermehrte Mitosen. Reduzierte Schleimproduktion. Das Zytoplasma ist deutlich basophil.
Klinik
Koloskopie wegen positivem Haemocculttest. Ein 5mm grosser gestielter Polyp im Colon descendens wird abgetragen.
Kommentar
Der Schweregrad der Dysplasie wird meist in zwei therapierelevanten Stufen angegeben (low grade und high grade). Früher wurde ein dreistufiges System verwendet (leichte, mittelschwere und schwere Dysplasie). Leichte und mittelschwere Dysplasie entsprechen der low grade Dysplasie, die schwere Dysplasie entspricht der high grade Dysplasie. Bei der low grade Dysplasie sind die Kerne stiftförmig und wandern nur selten bis zum Drüsenlumen hoch. Die Drüsen sind regelmässig angeordnet. Bei der high grade Dysplasie sind die Kerne deutlich abgerundet, gross und polymorph. Die Drüsen zeigen oft komplexe kribriforme Strukturen. Die Epithelzellen wandern bis zum Drüsenlumen hoch.
Bilder Typ
Histologie
Vergrösserung
630
Alter
65
Geschlecht
männlich
Datum
Ersteintrag: 13.06.2002