Wichtiger Sicherheitshinweis: Pathorama wurde zwischen dem 26. und 27. Dezember 2025 angegriffen. Falls Sie die Website in diesem Zeitraum besucht haben, lesen Sie bitte die wichtigen Informationen hier:
Zur Information

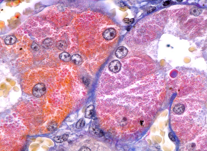
PathoPic – image database / PathoPic ID 5009 - hyalintropfige Eiweissspeicherung in proximalen Tubuli

de
Diagnose
hyalintropfige Eiweissspeicherung in proximalen Tubuli
Diagnose Gruppe
Systemerkrankung/Immunpathologie
Topographie
Niere
Topographie Gruppe
Niere, Harnwege
Beschreibung
Proximale Tubulusquerschnitte zeigen eine intrazytoplasmatische Speicherung von Protein in Form unterschiedlich grosser hyaliner Tropfen (Phagolysosomen).
Klinik
Rapid progressive Glomerulonephritis mit Entwicklung einer Oligurie innert weniger Tage. Fieber und Nachtschweiss. Chronische Sinusitis. cANCA erhöht.
Kommentar
Die hyalintropfige Eiweisspeicherung findet sich ausschliesslich in proximalen Tubuli. Eine sichtbare Eiweissspeicherung ist Folge eines Überschreitens der lokalen Eiweisstransportkapazität des betreffenden Tubulus. Daher kommt die Eiweissspeicherung auch meist nur fokal vor. Klinisch muss nicht eine schwere Proteinurie bestehen. Jede Form von Minderdurchblutung (Schnocknieren, intravasale Gerinnung, Narben...) begünstigen eine proximal tubuläre Einweissspeicherung.
Bilder Typ
Histologie
Vergrösserung
630
Alter
59
Geschlecht
männlich
Datum
Ersteintrag: 12.06.2002