Wichtiger Sicherheitshinweis: Pathorama wurde zwischen dem 26. und 27. Dezember 2025 angegriffen. Falls Sie die Website in diesem Zeitraum besucht haben, lesen Sie bitte die wichtigen Informationen hier:
Zur Information

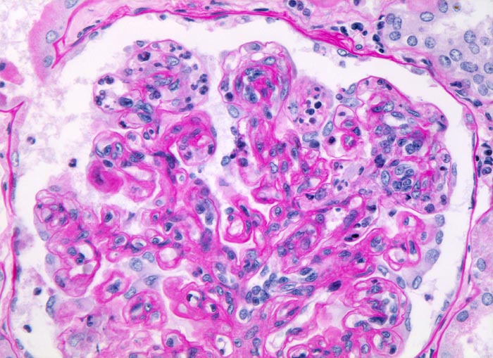
PathoPic – image database / PathoPic ID 4995 - membrano-proliferative Glomerulonephritis Typ I

de
Diagnose
membrano-proliferative Glomerulonephritis Typ I
Diagnose Gruppe
Systemerkrankung/Immunpathologie
Topographie
Niere
Topographie Gruppe
Niere, Harnwege
Beschreibung
Geringe Verbreiterung des Mesangiums mit deutlicher Zellvermehrung (Mesangiumzellkerne überlappen einander, mehr als 3 Mesangiumzellen pro Mesangiumfeld). Die Kapillarschlingen enthalten zahlreiche neutrophile Granulozyten und Monozyten. Die peripheren Basalmembranen sind stellenweise deutlich verdickt bzw. verdoppelt.
Klinik
Nephrotisches Syndrom, Mikrohämaturie und arterielle Hypertonie. Chronische Hepatitis C.
Kommentar
Der Nachweis von Granulozyten und Monozyten in den Kapillarschlingen und die mesangialen Veränderungen lassen differentialdiagnostisch an eine endokapilläre Glomerulonephritis denken.
Bilder Typ
Histologie
Vergrösserung
320
Alter
24
Geschlecht
männlich
Datum
Ersteintrag: 12.06.2002