Wichtiger Sicherheitshinweis: Pathorama wurde zwischen dem 26. und 27. Dezember 2025 angegriffen. Falls Sie die Website in diesem Zeitraum besucht haben, lesen Sie bitte die wichtigen Informationen hier:
Zur Information

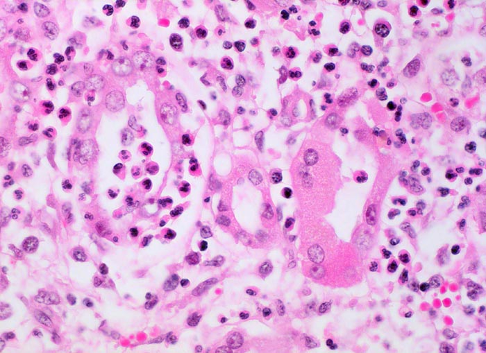
PathoPic – image database / PathoPic ID 4992 - akute Pyelonephritis (destruktive interstititelle Nephritis)

de
Diagnose
akute Pyelonephritis (destruktive interstititelle Nephritis)
Diagnose Gruppe
Entzündung infektiös
Topographie
Niere
Topographie Gruppe
Niere, Harnwege
Beschreibung
Neutrophile Granulozyten zerstören die Tubulusepithelien. Die Epithelzellen haben vergrösserte bläschenförmige Kerne mit prominenten Nukleolen ( reaktive Atypien). Das Interstitium wird infiltriert von neutrophilen Granulozyten, wenigen Histiozyten und vereinzelten Plasmazellen.
Zusatzbefund
Uretero- und Nephrolithiasis
Klinik
Fieber mit Schüttelfrost, Übelkeit und Flankenschmerzen. Dysurie. Exsiccose.
Kommentar
Für die Diagnose einer akuten Pyelonephritis (=destruktive interstititelle Nephritis) ist der Nachweis einer destruktiven Entzündung erforderlich. Eitergefüllte Tubuli und Sammelrohre finden sich häufig in der Niere und reichen nicht aus für die Diagnose einer akuten Pyelonephritis.
Bilder Typ
Histologie
Vergrösserung
400
Alter
34
Geschlecht
unbekannt
Datum
Ersteintrag: 12.06.2002
Update: 08.06.2007