Wichtiger Sicherheitshinweis: Pathorama wurde zwischen dem 26. und 27. Dezember 2025 angegriffen. Falls Sie die Website in diesem Zeitraum besucht haben, lesen Sie bitte die wichtigen Informationen hier:
Zur Information

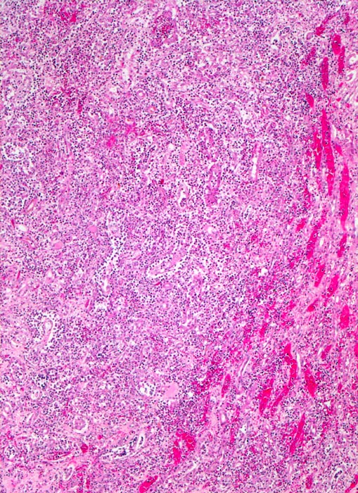
PathoPic – image database / PathoPic ID 4991 - akute Pyelonephritis (destruktive interstititelle Nephritis)

de
Diagnose
akute Pyelonephritis (destruktive interstititelle Nephritis)
Diagnose Gruppe
Entzündung infektiös
Topographie
Niere
Topographie Gruppe
Niere, Harnwege
Beschreibung
Destruktives streifenförmiges granulozytäres Infiltrat. Die Tubuli sind nicht mehr erkennbar. Am Rand des Infiltrates hyperämische Gefässe (makroskopisch gelber Herd mit rotem Randsaum).
Zusatzbefund
Uretero- und Nephrolithiasis
Klinik
Fieber mit Schüttelfrost, Übelkeit und Flankenschmerzen. Dysurie. Exsiccose.
Bilder Typ
Histologie
Vergrösserung
50
Alter
34
Geschlecht
unbekannt
Datum
Ersteintrag: 06.10.2002
Update: 08.06.2007