Wichtiger Sicherheitshinweis: Pathorama wurde zwischen dem 26. und 27. Dezember 2025 angegriffen. Falls Sie die Website in diesem Zeitraum besucht haben, lesen Sie bitte die wichtigen Informationen hier:
Zur Information

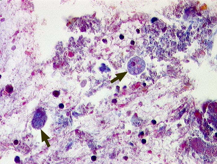
PathoPic – image database / PathoPic ID 498 - Amöben

de
Diagnose
Amöben
Diagnose Gruppe
Entzündung infektiös
Topographie
Kolon
Topographie Gruppe
Darm, Anus
Beschreibung
Im Schleim, welcher dem Kolon aufgelagert ist, liegen Amöben mit feinkörnigem hellblauem Zytoplasma und kleinem rundem Kern. Einer davon mit phagozytierten Erythrozyten (Trophozoit Magnaform).
Bilder Typ
Histologie
Geschlecht
weiblich
Datum
Ersteintrag: 09.11.2001
Update: 21.06.2004