Wichtiger Sicherheitshinweis:
Pathorama wurde zwischen dem
26. und 27. Dezember 2025
angegriffen. Falls Sie die Website in diesem Zeitraum besucht haben, lesen Sie bitte die wichtigen Informationen hier:
Zur Information
Pathopic
HiPaKu
ZyPaKu
Projektinfos
PathoPic - Projekt- und Copyright-Info
About
Pathopic
HiPaKu
ZyPaKu
PathoPic – image database
/
PathoPic ID 497 - Amöben
de
Diagnose
Amöben
Diagnose Gruppe
Entzündung infektiös
Topographie
Kolon
Topographie Gruppe
Darm, Anus
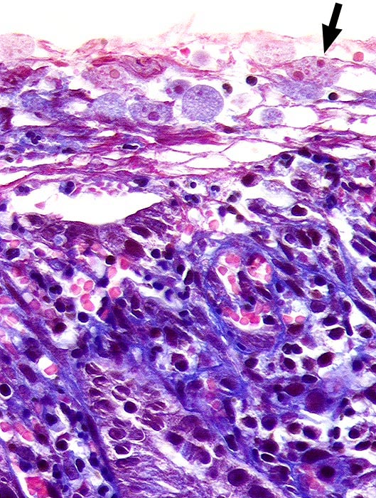
Beschreibung
Auf dem Oberflächenepithel liegen zahlreiche Amöben mit feinkörnigem hellblauem Zytoplasma. Ein Teil davon mit
►
phagozytierten Erythrozyten.
Bilder Typ
Histologie
Geschlecht
weiblich
Datum
Ersteintrag: 09.11.2001
CPS
·
©
2025 Institut für Pathologie Basel
/
Dr. med. Katharina Glatz-Krieger
.
·
v2.2