Wichtiger Sicherheitshinweis:
Pathorama wurde zwischen dem
26. und 27. Dezember 2025
angegriffen. Falls Sie die Website in diesem Zeitraum besucht haben, lesen Sie bitte die wichtigen Informationen hier:
Zur Information
Pathopic
HiPaKu
ZyPaKu
Projektinfos
PathoPic - Projekt- und Copyright-Info
About
Pathopic
HiPaKu
ZyPaKu
PathoPic – image database
/
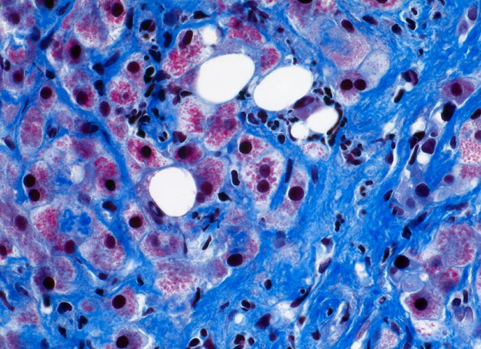
PathoPic ID 4950 - hochfloride chronische sklerosierende alkoholische Steatohepatitis
de
Diagnose
hochfloride chronische sklerosierende alkoholische Steatohepatitis
Diagnose Gruppe
Therapiefolgen
Topographie
Leber
Topographie Gruppe
Leber, Gallenwege, Pankreas
Beschreibung
Ausgeprägte perizelluläre Fibrose. Einzelne grobtropfig verfettete Hepatozyten. Gemischtes Entzündungsinfiltrat mit Beteiligung zahlreicher neutrophiler Granulozyten. Die Hepatozyten enthalten zahlreiche rote kugelige Einschlüsse (=Megamitochondrien), ein Teil enthält
Mallory Körperchen.
Klinik
Alkoholabusus
Bilder Typ
Histologie
Vergrösserung
400
Alter
49
Geschlecht
männlich
Datum
Ersteintrag: 12.06.2002
CPS
·
©
2025 Institut für Pathologie Basel
/
Dr. med. Katharina Glatz-Krieger
.
·
v2.2