Wichtiger Sicherheitshinweis: Pathorama wurde zwischen dem 26. und 27. Dezember 2025 angegriffen. Falls Sie die Website in diesem Zeitraum besucht haben, lesen Sie bitte die wichtigen Informationen hier:
Zur Information

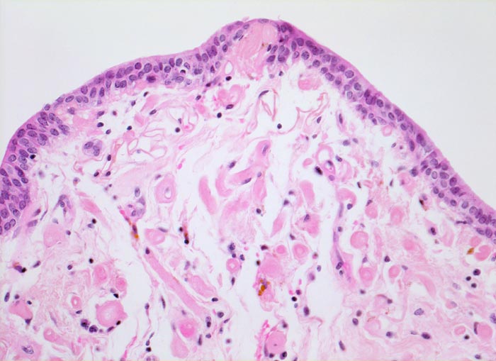
PathoPic – image database / PathoPic ID 4881 - Kapillarosklerose bei Phenacetinabusus

de
Diagnose
Kapillarosklerose bei Phenacetinabusus
Diagnose Gruppe
Therapiefolgen
Topographie
Ureter
Topographie Gruppe
Niere, Harnwege
Beschreibung
Unauffälliges flaches Urothel ohne Atypien. Im subepithelialen Stroma fallen zahlreiche Kapillaren mit stark verbreiterten Basalmembranen auf. Teilweise sind die Gefässlumina vollständig obliteriert. Das Stroma ist leicht sklerosiert. Minimales Entzündungsinfiltrat mit einzelnen Siderophagen.
Klinik
Chronische Niereninsuffizienz bei bekanntem jahrelangem Analgetikaabusus. Inoperables Urothelkarzinom der Harnblase. Weitere Urothelkarzinome in beiden Ureteren. Die Patientin stirbt am metastasierenden Tumorleiden. (Der Fall liegt mehrere Jahre zurück).
Kommentar
Die lamellär geschichteten verdickten Basalmembranen enthalten reichlich Lipide, welche in der Sudanfärbung darstellbar sind. Besonders geeignet für die Basalmembrandarstellung ist auch die PAS Färbung. In einem normalen Ureter sind die Basalmembranen der Kapillaren kaum erkennbar.
Bilder Typ
Histologie
Vergrösserung
200
Alter
72
Geschlecht
unbekannt
Datum
Ersteintrag: 06.10.2002