Wichtiger Sicherheitshinweis: Pathorama wurde zwischen dem 26. und 27. Dezember 2025 angegriffen. Falls Sie die Website in diesem Zeitraum besucht haben, lesen Sie bitte die wichtigen Informationen hier:
Zur Information

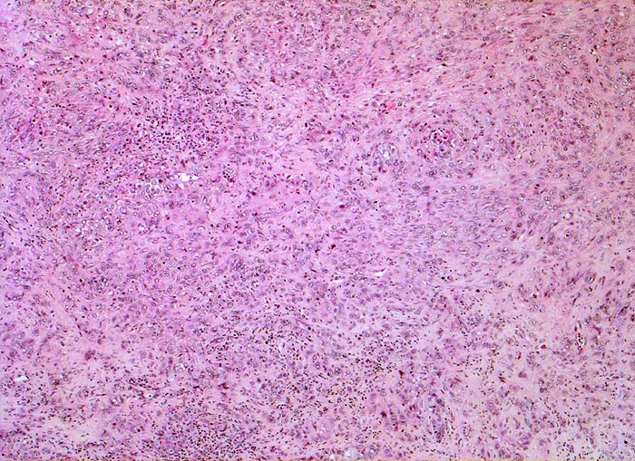
PathoPic – image database / PathoPic ID 4879 - wenig differenziertes Urothelkarzinom

de
Diagnose
wenig differenziertes Urothelkarzinom
Diagnose Gruppe
maligner Tumor
Topographie
Harnblase
Topographie Gruppe
Niere, Harnwege
Beschreibung
Solider Tumorzellverband mit fokalen Entzündungsinfiltraten.
Klinik
Chronische Niereninsuffizienz bei bekanntem jahrelangem Analgetikaabusus. Inoperables Urothelkarzinom der Harnblase. Weitere Urothelkarzinome in beiden Ureteren. Die Patientin stirbt am metastasierenden Tumorleiden. (Der Fall liegt mehrere Jahre zurück).
Bilder Typ
Histologie
Vergrösserung
50
Alter
72
Geschlecht
unbekannt
Datum
Ersteintrag: 11.06.2002
Update: 16.04.2009