Wichtiger Sicherheitshinweis: Pathorama wurde zwischen dem 26. und 27. Dezember 2025 angegriffen. Falls Sie die Website in diesem Zeitraum besucht haben, lesen Sie bitte die wichtigen Informationen hier:
Zur Information

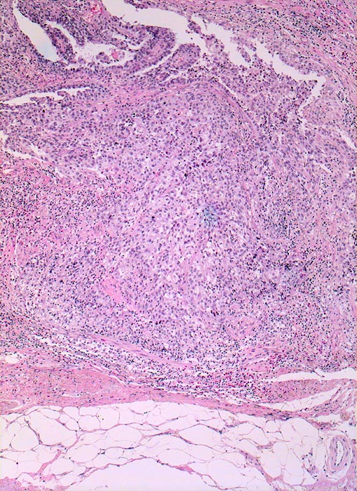
PathoPic – image database / PathoPic ID 4874 - Urothelkarzinom

de
Diagnose
Urothelkarzinom
Diagnose Gruppe
maligner Tumor
Topographie
Harnblase
Topographie Gruppe
Niere, Harnwege
Beschreibung
Ein solider Tumor infiltriert das perivesikale Fettgewebe.
Klinik
Makrohämaturie. In der Harnblasenspülflüssigkeit werden Urothelien mit schweren Kernatypien vereinbar mit Urothelkarzinom nachgewiesen. Zystoskopisch kommt in der Hinterwand ein ulzerierter Tumor zur Darstellung. Die bioptische Abklärung ergibt Anteile eines wenig differenzierten Urothelkarzinoms mit ausgedehnten Nekrosen.
Kommentar
Die Infiltration des perivesikalen Fettgewebes entspricht einem Stadium pT3.
Bilder Typ
Histologie
Vergrösserung
50
Alter
81
Geschlecht
männlich
Datum
Ersteintrag: 11.06.2002
Update: 16.04.2009