Wichtiger Sicherheitshinweis: Pathorama wurde zwischen dem 26. und 27. Dezember 2025 angegriffen. Falls Sie die Website in diesem Zeitraum besucht haben, lesen Sie bitte die wichtigen Informationen hier:
Zur Information

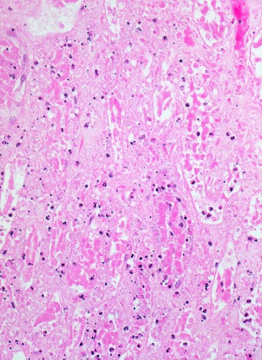
PathoPic – image database / PathoPic ID 4868 - akuter Niereninfarkt: Koagulationsnekrose

de
Diagnose
akuter Niereninfarkt: Koagulationsnekrose
Diagnose Gruppe
vaskulär / Durchblutungsstörung
Topographie
Niere
Topographie Gruppe
Niere, Harnwege
Beschreibung
Vollständig nekrotische Tubuli ohne erkennbare Zellkerne. Die Nekrose ist durchsetzt von zerfallenden neutrophilen Granulozyten. Die schwarzen Punkte entsprechen Kerntrümmern der Granulozyten.
Klinik
Chronisches Vorhofflimmern mit Morbus embolicus: anämische Infarkte verschiedenen Alters in beiden Nieren und in der Milz. Alte abgebaute Enzephalomalazie im Versorgungsbereich der Arteria cerebri media rechts.
Bilder Typ
Histologie
Vergrösserung
200
Alter
81
Geschlecht
männlich
Datum
Ersteintrag: 11.06.2002