Wichtiger Sicherheitshinweis: Pathorama wurde zwischen dem 26. und 27. Dezember 2025 angegriffen. Falls Sie die Website in diesem Zeitraum besucht haben, lesen Sie bitte die wichtigen Informationen hier:
Zur Information

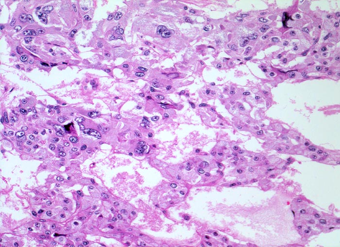
PathoPic – image database / PathoPic ID 4861 - Phaeochromozytom

de
Diagnose
Phaeochromozytom
Diagnose Gruppe
Präneoplasie/ Atypie/ Dignität?
Topographie
Nebenniere
Topographie Gruppe
Endokrinium
Beschreibung
«Zellballen» aus teils spindelig konfigurierten, grossen Tumorzellen. In den Bindegewebssepten um die Zellballen lassen sich zahlreiche dilatierte Blutgefässe nachweisen.
Klinik
Der Patient klagt über rezidivierende Kopfschmerzen seit zirka zwei Monaten. In letzter Zeit hat er Alcacyl genommen, jedoch ohne Erfolg. Die Computertomographie des Abdomens zeigt einen 5cm grossen Tumor im Bereich der rechten Nebenniere. Die Familienanamnese für multiple endokrine Neoplasien (MEN) ist bland.
Bilder Typ
Histologie
Vergrösserung
50
Alter
36
Geschlecht
männlich
Datum
Ersteintrag: 11.06.2002