Wichtiger Sicherheitshinweis: Pathorama wurde zwischen dem 26. und 27. Dezember 2025 angegriffen. Falls Sie die Website in diesem Zeitraum besucht haben, lesen Sie bitte die wichtigen Informationen hier:
Zur Information

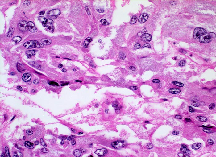
PathoPic – image database / PathoPic ID 4860 - Phaeochromozytom

de
Diagnose
Phaeochromozytom
Diagnose Gruppe
Präneoplasie/ Atypie/ Dignität?
Topographie
Nebenniere
Topographie Gruppe
Endokrinium
Beschreibung
Die Tumorzellen zeigen hier deutliche Atypien. Ein Teil der Zellen hat mehrere stark vergrösserte Kerne mit vergröbertem Chromatin und vergrösserten Nukleolen.
Klinik
Der Patient klagt über rezidivierende Kopfschmerzen seit zirka zwei Monaten. In letzter Zeit hat er Alcacyl genommen, jedoch ohne Erfolg. Die Computertomographie des Abdomens zeigt einen 5cm grossen Tumor im Bereich der rechten Nebenniere. Die Familienanamnese für multiple endokrine Neoplasien (MEN) ist bland.
Kommentar
Riesenzellen und Zellen mit bizarren Atypien lassen sich in Phaeochromozytomen/Paragangliomen oft fokal nachweisen. Atypien, Mitosen, lokal invasives Wachstum und Gefässinvasion können in gutartigen Tumoren vorkommen. Es gibt keine verlässlichen histologischen Kriterien, um benigne von malignen Phaeochromozytomen zu unterscheiden. Entscheidend ist der Nachweis bzw. das Fehlen von Metastasen.
Bilder Typ
Histologie
Vergrösserung
400
Alter
36
Geschlecht
männlich
Datum
Ersteintrag: 06.10.2002