Wichtiger Sicherheitshinweis: Pathorama wurde zwischen dem 26. und 27. Dezember 2025 angegriffen. Falls Sie die Website in diesem Zeitraum besucht haben, lesen Sie bitte die wichtigen Informationen hier:
Zur Information

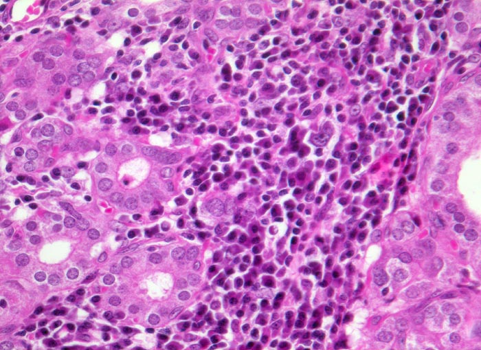
PathoPic – image database / PathoPic ID 4847 - Morbus Basedow

de
Diagnose
Morbus Basedow
Diagnose Gruppe
Systemerkrankung/Immunpathologie
Topographie
Schilddrüse
Topographie Gruppe
Endokrinium
Beschreibung
Kleine Follikel mit kubischem bis hochprismatischem Epithel. Die Lumina enthalten kein Kolloid. Zahlreiche Plasmazellen infiltrieren das Interstitium und drängen sich zwischen die Follikel.
Bilder Typ
Histologie
Vergrösserung
320
Alter
42
Geschlecht
unbekannt
Datum
Ersteintrag: 11.06.2002