Wichtiger Sicherheitshinweis: Pathorama wurde zwischen dem 26. und 27. Dezember 2025 angegriffen. Falls Sie die Website in diesem Zeitraum besucht haben, lesen Sie bitte die wichtigen Informationen hier:
Zur Information

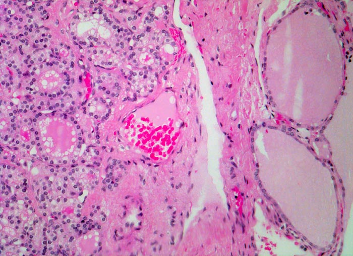
PathoPic – image database / PathoPic ID 4837 - autonomes Adenom

de
Diagnose
autonomes Adenom
Diagnose Gruppe
benigner Tumor
Topographie
Schilddrüse
Topographie Gruppe
Endokrinium
Beschreibung
Das Gewebe des Adenoms (links) ist verschieden vom Gewebe der angrenzenden Schilddrüse (rechts), aber mühelos als Schilddrüsengewebe identifizierbar. Der Knoten ist von einer Kapsel umgeben und dadurch scharf von der Umgebung abgegrenzt. Die Follikel im Adenom sind deutlich kleiner. Die Lumina sind klein oder gar nicht nachweisbar. Das Kolloid weist zahlreiche Resorptionsvakuolen auf. Das übrige Schilddrüsenparenchym ist makrofollikulär. Die Follikel sind mit Kolloid gefüllt. Resorptionsvakuolen sind nicht erkennbar. Das Epithel ist abgeflacht.
Klinik
Die 52-jährige Patientin gibt an, in letzter Zeit vermehrt Herzpalpitationen verspürt zu haben. Zusätzlich sei ihr aufgefallen, dass sie nervöser geworden sei, teilweise sogar aggressiv. Sie stellte eine ungewollte Gewichtsabnahme fest.
In der insgesamt eher verkleinerten Schilddrüse ist ein solitärer nicht schmerzhafter Knoten palpabel. Sonographisch kann der klinische Befund bestätigt werden. Die Szintigraphie ergibt eine vermehrte Speicherung von 123-Iodid im Knoten. Freise T3 und T4 sind erhöht, das TSH ist erniedrigt.
Bilder Typ
Histologie
Vergrösserung
100
Alter
52
Geschlecht
unbekannt
Datum
Ersteintrag: 09.05.2002