Wichtiger Sicherheitshinweis: Pathorama wurde zwischen dem 26. und 27. Dezember 2025 angegriffen. Falls Sie die Website in diesem Zeitraum besucht haben, lesen Sie bitte die wichtigen Informationen hier:
Zur Information

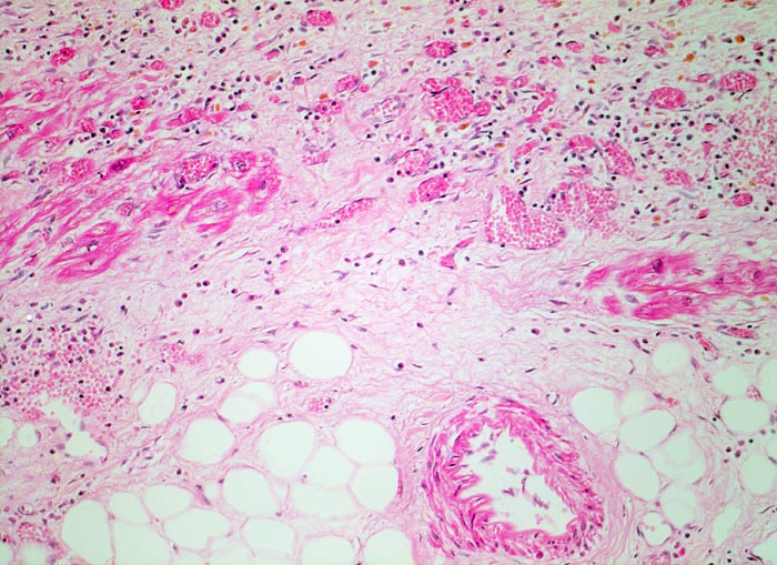
PathoPic – image database / PathoPic ID 4818 - subakuter Myokardinfarkt

de
Diagnose
subakuter Myokardinfarkt
Diagnose Gruppe
vaskulär / Durchblutungsstörung
Topographie
Herz links
Topographie Gruppe
Kardiovaskuläres System
Beschreibung
Das Granulationsgewebe besteht aus lockerem Bindegewebe, Kapillaren und gemischtem Entzündungsinfiltrat. Die hämosiderinhaltigen Makrophagen sind an ihrer gelben Farbe erkennbar. Im Granulationsgewebe eingeschlossen einzelne vitale Myokardzellen.
Zusatzbefund
Ausgedehnter subakuter Myokardinfarkt von Hinterwand und Septum. Im Infarktrandbereich perakute Myokardnekrosen.
Klinik
Langjähriger insulinpflichtiger Diabetes mellitus mit koronarer Dreiasterkrankung. Akutes Infarktereignis vor 3 Wochen. Der Patient wird am Morgen tot im Bett aufgefunden.
Kommentar
Narbengewebe kann ebenfalls vaskularisiert sein. Für die Diagnose eines subakuten Infarktes muss das Granulationsgewebe auch Entzündungszellen enthalten.
Bilder Typ
Histologie
Vergrösserung
100
Alter
64
Geschlecht
männlich
Datum
Ersteintrag: 08.05.2002