Wichtiger Sicherheitshinweis: Pathorama wurde zwischen dem 26. und 27. Dezember 2025 angegriffen. Falls Sie die Website in diesem Zeitraum besucht haben, lesen Sie bitte die wichtigen Informationen hier:
Zur Information

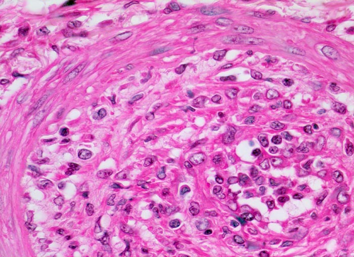
PathoPic – image database / PathoPic ID 4806 - akute Transplantatverwerfung: intimale Arteriitis

de
Diagnose
akute Transplantatverwerfung: intimale Arteriitis
Diagnose Gruppe
Systemerkrankung/Immunpathologie
Topographie
Niere
Topographie Gruppe
Niere, Harnwege
Beschreibung
Kleine Arterie mit akuter Transplantatvaskulopathie mit Ödem und Infiltration der Intima durch Histiozyten und Lymphozyten, Immunoblasten und Myofibroblasten. Zwischen den zellulären Infiltraten neugebildete kollagenöse Matrix. Das Lumen ist stark eingeengt. Die Media hingegen weist keine entzündlichen Veränderungen auf. Die geschwollenen aktivierten Endothelzellen sind arkadenförmig von der Basalmembran abgelöst. Unter den abgelösten Endothelien finden sich Infiltrate von Entzündungszellen (=Endothelialitis).
Klinik
Leichennierentransplantation wegen dialysepflichtiger Niereninsuffizienz bei diabetischer Nephropathie. 5 Wochen nach Transplantation bemerkte der Patient ein Nachlassen der Urinausscheidung mit Gewichtsanstieg und Spannungsgefühl im Bereich des Transplantates. Trotz sofortiger Steigerung der immunsuppressiven Therapie kam es zum Transplantatversagen.
Kommentar
Der Befund entspricht einer intimalen Arteriitis. Wenn wie im vorliegenden Fall mehr als 2/3 des Gefässquerschnittes obliteriert ist, kommt es zur funktionellen Einschränkung. Die vorliegende entzündlich bedingte Intimafibrose lässt sich von degenerativ bedingten Intimaveränderungen (Hypertonie, Diabetes...) aufgrund der fehlenden Elastose bei vaskulärer Abstossung unterscheiden (nur sichtbar mit Spezialfärbung z.B. EvG).
Bilder Typ
Histologie
Vergrösserung
630
Alter
58
Geschlecht
männlich
Datum
Ersteintrag: 11.06.2002
Update: 16.07.2003