Wichtiger Sicherheitshinweis: Pathorama wurde zwischen dem 26. und 27. Dezember 2025 angegriffen. Falls Sie die Website in diesem Zeitraum besucht haben, lesen Sie bitte die wichtigen Informationen hier:
Zur Information

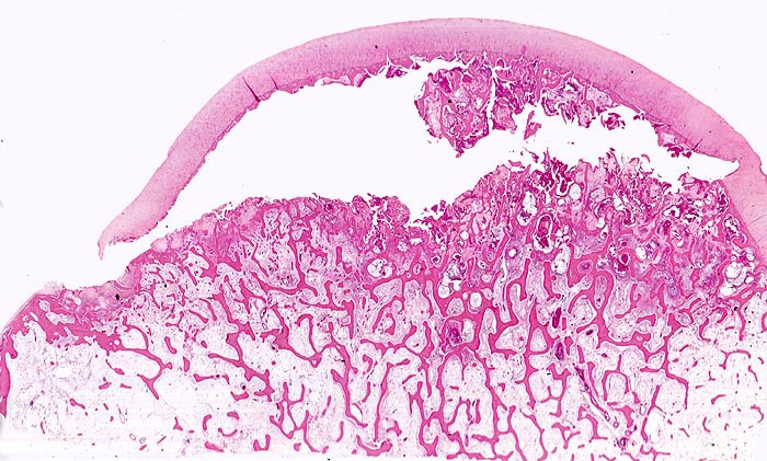
PathoPic – image database / PathoPic ID 4779 - aseptische Femurkopfnekrose

de
Diagnose
aseptische Femurkopfnekrose
Diagnose Gruppe
vaskulär / Durchblutungsstörung
Topographie
Knochen, Femurkopf
Topographie Gruppe
Knochen, Knorpel, Gelenke
Beschreibung
Typische flächenhafte Ablösung des Gelenkknorpels zwischen subchondraler Knochenlamelle und angrenzender nekrotischer Spongiosa. Der Gelenkknorpel ist gut erhalten.
Klinik
Der Patient ist Gastwirt von Beruf und klagt über rasch zunehmende Schmerzen im rechten Hüftgelenk, die auch nachts auftreten. Aufgrund der invalidisierenden Schmerzen wird eine Endoprothese eingesetzt.
Kommentar
Sekundäre ischämische Knochennekrosen bei Arthrose sind im Gegensatz zur spontanen idiopathischen Knochennekrose des Erwachsenen keilförmig und weniger flächenhaft. Sie entstehen an Stellen des von Knorpel entblössten Hüftkopfes. Bei der aseptischen Knochennekrose ist dagegen der Gelenkknorpel nicht zerstört, sondern lediglich von der nekrotischen Unterlage abgehoben.
Bilder Typ
Histologie
Vergrösserung
Scan
Alter
41
Geschlecht
männlich
Datum
Ersteintrag: 08.07.2002