Wichtiger Sicherheitshinweis:
Pathorama wurde zwischen dem
26. und 27. Dezember 2025
angegriffen. Falls Sie die Website in diesem Zeitraum besucht haben, lesen Sie bitte die wichtigen Informationen hier:
Zur Information
Pathopic
HiPaKu
ZyPaKu
Projektinfos
PathoPic - Projekt- und Copyright-Info
About
Pathopic
HiPaKu
ZyPaKu
PathoPic – image database
/
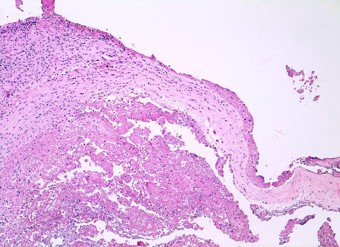
PathoPic ID 4774 - fibrinöse Synovialitis bei chronischer Polyarthritis
de
Diagnose
fibrinöse Synovialitis bei chronischer Polyarthritis
Diagnose Gruppe
Systemerkrankung/Immunpathologie
Topographie
Synovialis
Topographie Gruppe
Knochen, Knorpel, Gelenke
Beschreibung
Anstelle der synovialen Deckzellschicht sind die Zotten der Synovialis von einer dicken
Fibrinschicht durchmischt mit Granulozyten bedeckt.
Klinik
Bekannte seropositive chronische Polyarthritis.
Kommentar
Eine akute fibrinöse Entzündung findet sich häufig bei einer floriden chronischen Polyarthritis.
Bilder Typ
Histologie
Vergrösserung
50
Alter
64
Geschlecht
unbekannt
Datum
Ersteintrag: 06.10.2002
Update: 25.12.2007
CPS
·
©
2025 Institut für Pathologie Basel
/
Dr. med. Katharina Glatz-Krieger
.
·
v2.2