Wichtiger Sicherheitshinweis:
Pathorama wurde zwischen dem
26. und 27. Dezember 2025
angegriffen. Falls Sie die Website in diesem Zeitraum besucht haben, lesen Sie bitte die wichtigen Informationen hier:
Zur Information
Pathopic
HiPaKu
ZyPaKu
Projektinfos
PathoPic - Projekt- und Copyright-Info
About
Pathopic
HiPaKu
ZyPaKu
PathoPic – image database
/
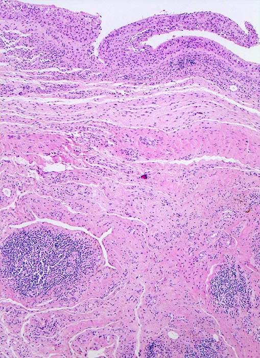
PathoPic ID 4773 - Synovialitis bei chronischer Polyarthritis
de
Diagnose
Synovialitis bei chronischer Polyarthritis
Diagnose Gruppe
Systemerkrankung/Immunpathologie
Topographie
Synovialis
Topographie Gruppe
Knochen, Knorpel, Gelenke
Beschreibung
Verdickte synoviale
Deckzellschicht.
Lymphofollikuläre Entzündungsinfiltrate im Stroma.
Klinik
Bekannte seropositive chronische Polyarthritis.
Kommentar
Der Nachweis von Lymphfollikeln ist typisch, aber nicht beweisend für eine chronische Polyarthritis.
Bilder Typ
Histologie
Vergrösserung
50
Alter
64
Geschlecht
unbekannt
Datum
Ersteintrag: 06.10.2002
Update: 25.12.2007
CPS
·
©
2025 Institut für Pathologie Basel
/
Dr. med. Katharina Glatz-Krieger
.
·
v2.2