Wichtiger Sicherheitshinweis: Pathorama wurde zwischen dem 26. und 27. Dezember 2025 angegriffen. Falls Sie die Website in diesem Zeitraum besucht haben, lesen Sie bitte die wichtigen Informationen hier:
Zur Information

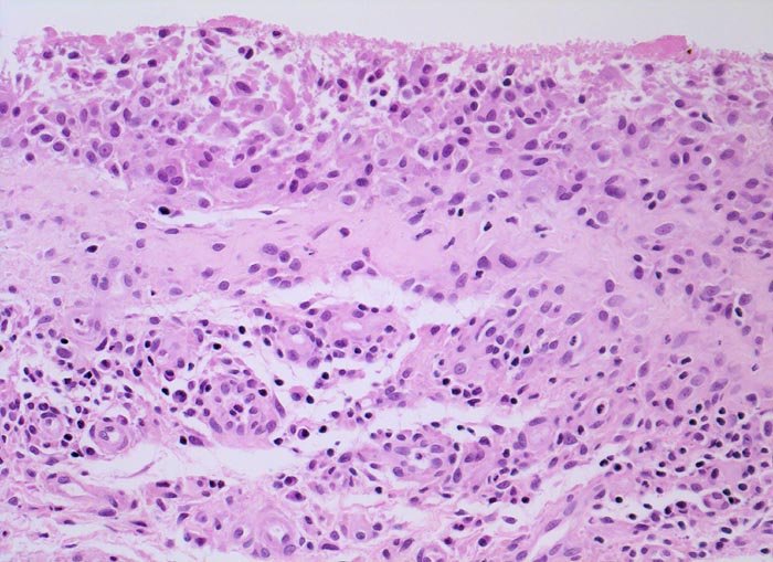
PathoPic – image database / PathoPic ID 4772 - Synovialitis bei chronischer Polyarthritis

de
Diagnose
Synovialitis bei chronischer Polyarthritis
Diagnose Gruppe
Systemerkrankung/Immunpathologie
Topographie
Synovialis
Topographie Gruppe
Knochen, Knorpel, Gelenke
Beschreibung
Proliferierte Deckzellschicht mit spärlichen Fibrinauflagerungen. Lockeres mononukleäres Entzündungsinfiltrat im Stroma mit Beteiligung von Plasmazellen und Histiozyten.
Klinik
Bekannte seropositive chronische Polyarthritis.
Kommentar
Die normale synoviale Deckzellschicht umfasst 1 bis 4 Zellagen. Es handelt sich dabei nicht um epitheliale Zellen, sondern um Zellen mit Fähigkeit zur Phagozytose bzw. zur Bildung der Gelenkflüssigkeit (=Synovia).
Bilder Typ
Histologie
Vergrösserung
200
Alter
64
Geschlecht
unbekannt
Datum
Ersteintrag: 06.05.2002
Update: 25.12.2007