Wichtiger Sicherheitshinweis: Pathorama wurde zwischen dem 26. und 27. Dezember 2025 angegriffen. Falls Sie die Website in diesem Zeitraum besucht haben, lesen Sie bitte die wichtigen Informationen hier:
Zur Information

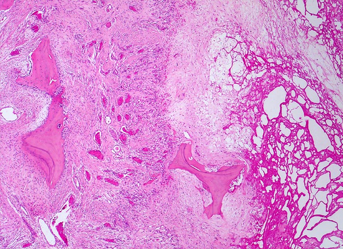
PathoPic – image database / PathoPic ID 4770 - Coxarthrose: Geröllzyste

de
Diagnose
Coxarthrose: Geröllzyste
Diagnose Gruppe
Trauma / mechanischer Schaden
Topographie
Knochen, Femurkopf
Topographie Gruppe
Knochen, Knorpel, Gelenke
Beschreibung
Randbereich einer Geröllzyste. Im Zentrum der Zyste nekrotischer Detritus und partiell resorbiertes avitales Knochenbälkchen. Die Geröllzyste wird umgeben von einem gefässreichen Granulationsgewebssaum. Darin liegt ein Knochenbälkchen, welches zystenwärts eine gesteigerte Resorption und auf der zystenabgewandten Seite einen gesteigerten Anbau mit Ausbildung einer Osteoblastentapete zeigt.
Klinik
74-jährige leicht adipöse Patientin mit Anlaufschmerz, belastungsabhängigem Schmerz und zunehmender Versteifung im Hüftgelenk. Im Röntgenbild des Hüftgelenks zeigen sich eine Gelenkspaltverschmälerung, subchondrale Osteolysen, Usuren und randständige Osteophyten.
Bilder Typ
Histologie
Vergrösserung
25
Alter
74
Geschlecht
unbekannt
Datum
Ersteintrag: 08.05.2002
Update: 25.01.2007