Wichtiger Sicherheitshinweis: Pathorama wurde zwischen dem 26. und 27. Dezember 2025 angegriffen. Falls Sie die Website in diesem Zeitraum besucht haben, lesen Sie bitte die wichtigen Informationen hier:
Zur Information

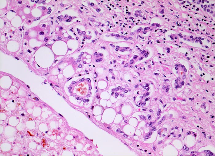
PathoPic – image database / PathoPic ID 4766 - Steatose, Ductulusproliferation und septische Cholestase

de
Diagnose
Steatose, Ductulusproliferation und septische Cholestase
Diagnose Gruppe
Therapiefolgen
Topographie
Leber
Topographie Gruppe
Leber, Gallenwege, Pankreas
Beschreibung
Proliferierte Ductuli in der rechten Bildhälfte. Zwei Ductuli enthalten einen Gallepfropf. Ein Teil der grobtropfig verfetteten Hepatozyten enthält ebenfalls Galle.
Klinik
Seit Jahren bekannter Alkoholabusus mit bis vor kurzem kompensierter Leberzirrhose. Seit einer Woche Sepsis mit unklarem Fokus und zunehmende Aszitesbildung. Der Patient verstirbt an den Folgen der Sepsis trotz antibiotischer Therapie.
Kommentar
Eine Cholestase bei Sepsis, Hämolyse oder Schock involviert typischerweise die Ductuli und die Hering Kanäle in der Peripherie der Portalfelder. Die betroffenen Ductuli sind dilatiert und enthalten einen Gallepfropf. Zusätzlich besteht oft eine Cholestase in der Läppchenperipherie.
Bilder Typ
Histologie
Vergrösserung
200
Alter
57
Geschlecht
männlich
Datum
Ersteintrag: 06.10.2002