Wichtiger Sicherheitshinweis: Pathorama wurde zwischen dem 26. und 27. Dezember 2025 angegriffen. Falls Sie die Website in diesem Zeitraum besucht haben, lesen Sie bitte die wichtigen Informationen hier:
Zur Information

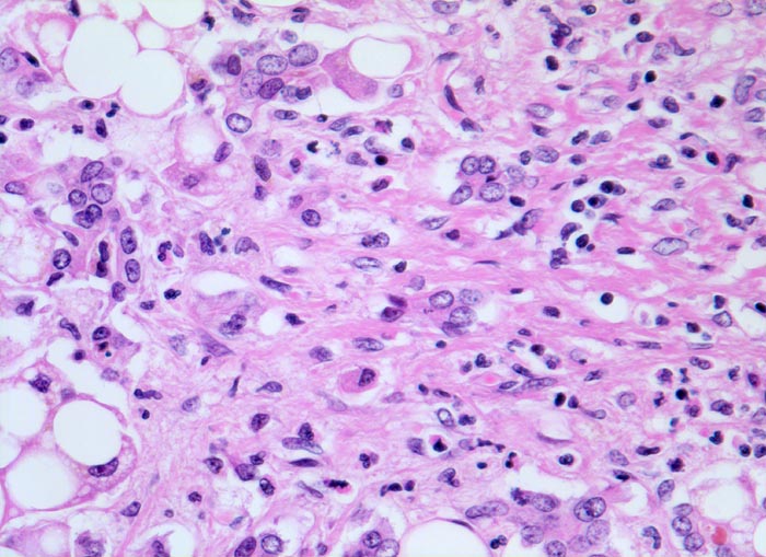
PathoPic – image database / PathoPic ID 4764 - alkoholische Leberzirrhose, Portalfeld

de
Diagnose
alkoholische Leberzirrhose, Portalfeld
Diagnose Gruppe
Therapiefolgen
Topographie
Leber
Topographie Gruppe
Leber, Gallenwege, Pankreas
Beschreibung
Fibrös verbreitertes Portalfeld mit proliferierten Ductuli und lockerem gemischtem Entzündungsinfiltrat. Grobtropfig verfettete Hepatozyten.
Klinik
Seit Jahren bekannter Alkoholabusus mit bis vor kurzem kompensierter Leberzirrhose. Seit einer Woche Sepsis mit unklarem Fokus und zunehmende Aszitesbildung. Der Patient verstirbt an den Folgen der Sepsis trotz antibiotischer Therapie.
Kommentar
Breite bindegewebige Septen und Ductulusproliferationen sind typisch für die alkoholische Leberzirrhose.
Bilder Typ
Histologie
Vergrösserung
320
Alter
57
Geschlecht
männlich
Datum
Ersteintrag: 06.10.2002