Wichtiger Sicherheitshinweis:
Pathorama wurde zwischen dem
26. und 27. Dezember 2025
angegriffen. Falls Sie die Website in diesem Zeitraum besucht haben, lesen Sie bitte die wichtigen Informationen hier:
Zur Information
Pathopic
HiPaKu
ZyPaKu
Projektinfos
PathoPic - Projekt- und Copyright-Info
About
Pathopic
HiPaKu
ZyPaKu
PathoPic – image database
/
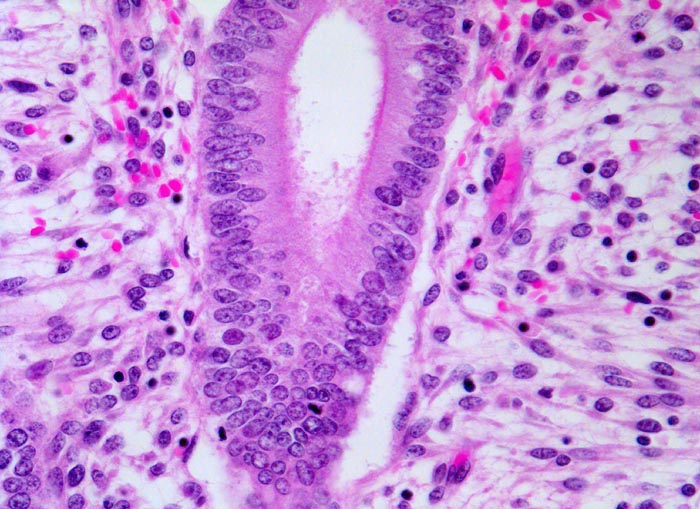
PathoPic ID 4748 - Mittlere Proliferationsphase des Endometriums
de
Diagnose
Mittlere Proliferationsphase des Endometriums
Diagnose Gruppe
Normalbefund
Topographie
Endometrium
Topographie Gruppe
Genitalorgane, weiblich
Beschreibung
Epithel hochzylindrisch, Kerne länglich chromatinreich mit Mitosen. Stroma aufgelockert.
Klinik
Uterus myomatosus
Bilder Typ
Histologie
Vergrösserung
200
Alter
44
Geschlecht
unbekannt
Datum
Ersteintrag: 06.05.2002
Update: 10.08.2010
CPS
·
©
2025 Institut für Pathologie Basel
/
Dr. med. Katharina Glatz-Krieger
.
·
v2.2