Wichtiger Sicherheitshinweis: Pathorama wurde zwischen dem 26. und 27. Dezember 2025 angegriffen. Falls Sie die Website in diesem Zeitraum besucht haben, lesen Sie bitte die wichtigen Informationen hier:
Zur Information

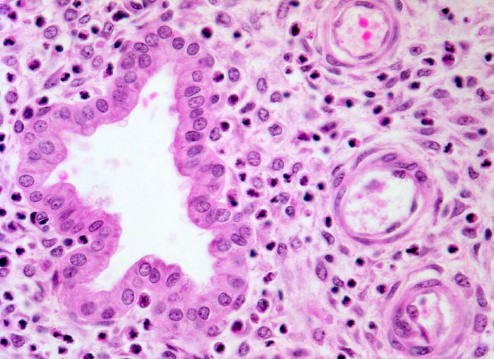
PathoPic – image database / PathoPic ID 4746 - Sekretionsphase 10. Tag nach Ovulation

de
Diagnose
Sekretionsphase 10. Tag nach Ovulation
Diagnose Gruppe
Normalbefund
Topographie
Endometrium
Topographie Gruppe
Genitalorgane, weiblich
Beschreibung
Sternförmige Drüse mit wenig apikaler Sekretion. Um die Spiralarterien Differenzierung der Stromazellen in grosse Stromazellen und kleine Körnchenzellen mit roten phloxinophilen Körnchen.
Klinik
Dyspareunie
Bilder Typ
Histologie
Vergrösserung
200
Alter
33
Geschlecht
unbekannt
Datum
Ersteintrag: 06.05.2002
Update: 10.08.2010