Wichtiger Sicherheitshinweis:
Pathorama wurde zwischen dem
26. und 27. Dezember 2025
angegriffen. Falls Sie die Website in diesem Zeitraum besucht haben, lesen Sie bitte die wichtigen Informationen hier:
Zur Information
Pathopic
HiPaKu
ZyPaKu
Projektinfos
PathoPic - Projekt- und Copyright-Info
About
Pathopic
HiPaKu
ZyPaKu
PathoPic – image database
/
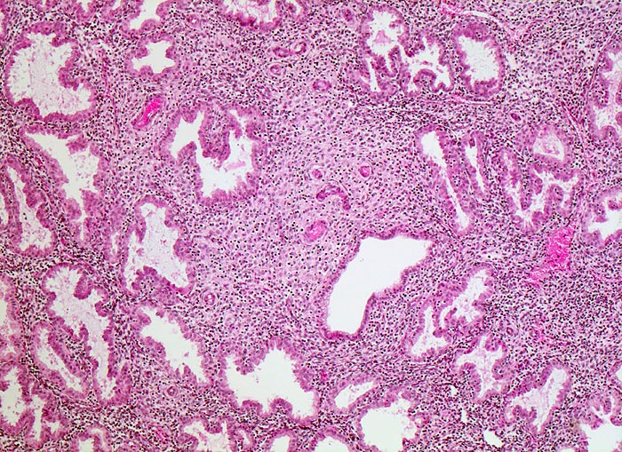
PathoPic ID 4745 - Sekretionsphase 10. Tag nach Ovulation
de
Diagnose
Sekretionsphase 10. Tag nach Ovulation
Diagnose Gruppe
Normalbefund
Topographie
Endometrium
Topographie Gruppe
Genitalorgane, weiblich
Beschreibung
Grosszellige Stromaumwandlung vor allem um die
Spiralarterien. Geschlängelte Drüsenschläuche mit Epithelknospen.
Klinik
Dyspareunie
Bilder Typ
Histologie
Vergrösserung
50
Alter
33
Geschlecht
unbekannt
Datum
Ersteintrag: 06.05.2002
Update: 10.08.2010
CPS
·
©
2025 Institut für Pathologie Basel
/
Dr. med. Katharina Glatz-Krieger
.
·
v2.2