Wichtiger Sicherheitshinweis:
Pathorama wurde zwischen dem
26. und 27. Dezember 2025
angegriffen. Falls Sie die Website in diesem Zeitraum besucht haben, lesen Sie bitte die wichtigen Informationen hier:
Zur Information
Pathopic
HiPaKu
ZyPaKu
Projektinfos
PathoPic - Projekt- und Copyright-Info
About
Pathopic
HiPaKu
ZyPaKu
PathoPic – image database
/
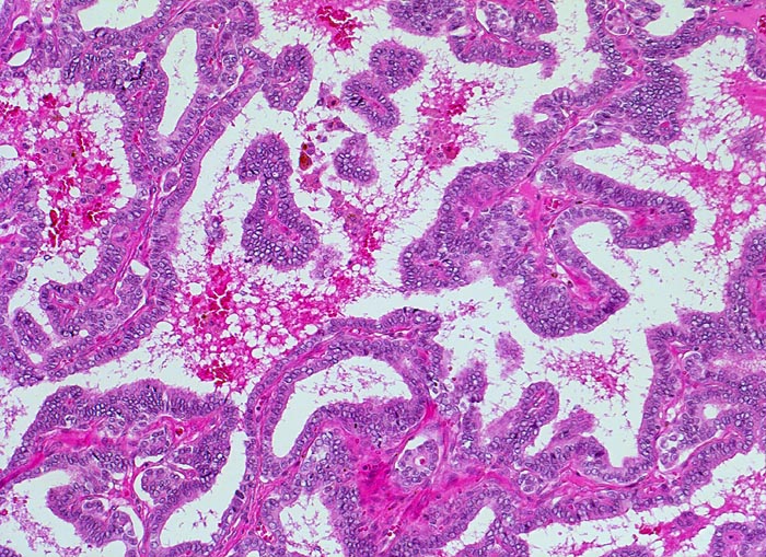
PathoPic ID 4736 - papilläres Schilddrüsenkarzinom
de
Diagnose
papilläres Schilddrüsenkarzinom
Diagnose Gruppe
maligner Tumor
Topographie
Schilddrüse
Topographie Gruppe
Endokrinium
Beschreibung
Papillärer Tumor.
Klinik
In der Feinnadelpunktion eines 2cm grossen kalten Knotens werden Karzinomzellen nachgewiesen vereinbar mit einem papillären Schilddrüsenkarzinom.
Bilder Typ
Histologie
Vergrösserung
100
Alter
46
Geschlecht
unbekannt
Datum
Ersteintrag: 06.05.2002
CPS
·
©
2025 Institut für Pathologie Basel
/
Dr. med. Katharina Glatz-Krieger
.
·
v2.2