Wichtiger Sicherheitshinweis: Pathorama wurde zwischen dem 26. und 27. Dezember 2025 angegriffen. Falls Sie die Website in diesem Zeitraum besucht haben, lesen Sie bitte die wichtigen Informationen hier:
Zur Information

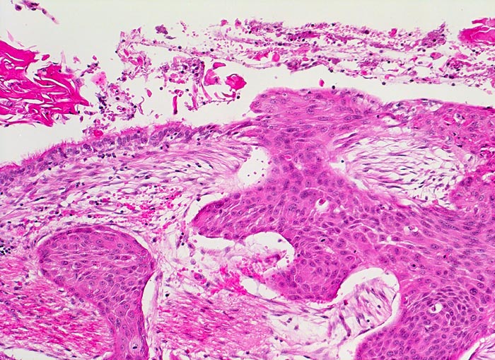
PathoPic – image database / PathoPic ID 4726 - verhornendes Plattenepithelkarzinom

de
Diagnose
verhornendes Plattenepithelkarzinom
Diagnose Gruppe
maligner Tumor
Topographie
Lunge
Topographie Gruppe
Lunge, Mediastinum mit Thymus
Beschreibung
Bronchiallichtung ausgekleidet von respiratorischem Flimmerepithel. Abrupter Übergang in invasives Karzinom. Die Tumorzellstränge sind umgeben von lockerem desmoplastischem Stroma.
Klinik
Zentrales Bronchuskarzinom des rechten Lungenoberlappens von 5cm Durchmesser. Lungenoberlappenresektion.
Kommentar
Das Präparat zeigt den tumorbefallenen Bronchusresektionsrand. Die Resektion erfolgte also nicht im Gesunden.
Bilder Typ
Histologie
Vergrösserung
100
Alter
58
Geschlecht
männlich
Datum
Ersteintrag: 11.07.2002