Wichtiger Sicherheitshinweis: Pathorama wurde zwischen dem 26. und 27. Dezember 2025 angegriffen. Falls Sie die Website in diesem Zeitraum besucht haben, lesen Sie bitte die wichtigen Informationen hier:
Zur Information

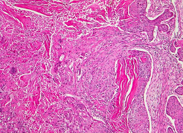
PathoPic – image database / PathoPic ID 4725 - verhornendes Plattenepithelkarzinom

de
Diagnose
verhornendes Plattenepithelkarzinom
Diagnose Gruppe
maligner Tumor
Topographie
Lunge
Topographie Gruppe
Lunge, Mediastinum mit Thymus
Beschreibung
Das Tumorgewebe bildet solide Zellstränge, welche eingebettet sind in ein lockeres desmoplastisches Stroma. Im Zentrum der Zellstränge grosse Mengen von Hornlamellen, welche teilweise nekrotisch zerfallen.
Klinik
Zentrales Bronchuskarzinom des rechten Lungenoberlappens von 5cm Durchmesser. Lungenoberlappenresektion.
Bilder Typ
Histologie
Vergrösserung
100
Alter
58
Geschlecht
männlich
Datum
Ersteintrag: 11.07.2002