Wichtiger Sicherheitshinweis: Pathorama wurde zwischen dem 26. und 27. Dezember 2025 angegriffen. Falls Sie die Website in diesem Zeitraum besucht haben, lesen Sie bitte die wichtigen Informationen hier:
Zur Information

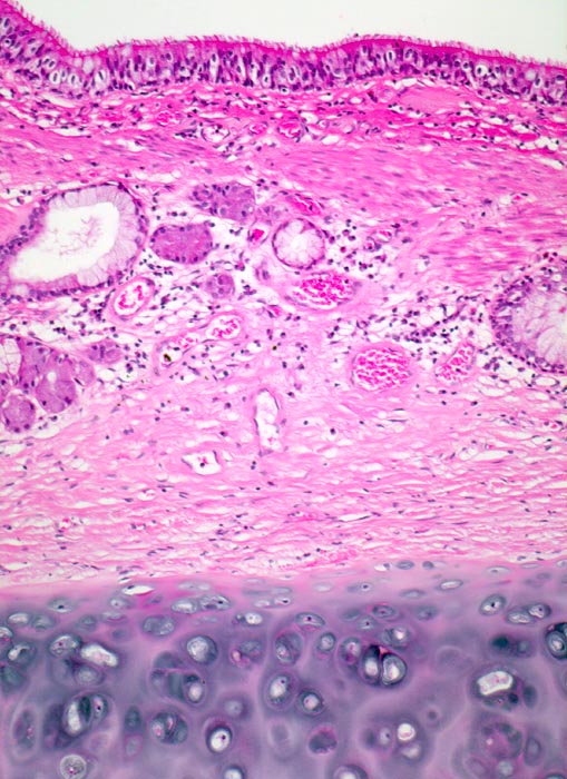
PathoPic – image database / PathoPic ID 4723 - Bronchialschleimhaut

de
Diagnose
Bronchialschleimhaut
Diagnose Gruppe
Normalbefund
Topographie
Bronchus
Topographie Gruppe
Lunge, Mediastinum mit Thymus
Beschreibung
Mehrreihiges Flimmerepithel auf einer schmalen Basalmembran. Seromuköse Drüsen und lockeres Entzündungsinfiltrat im subepithelialen Stroma. Am unteren Bildrand Anschnitt des Bronchialknorpels.
Bilder Typ
Histologie
Vergrösserung
100
Alter
61
Geschlecht
männlich
Datum
Ersteintrag: 06.05.2002