Wichtiger Sicherheitshinweis:
Pathorama wurde zwischen dem
26. und 27. Dezember 2025
angegriffen. Falls Sie die Website in diesem Zeitraum besucht haben, lesen Sie bitte die wichtigen Informationen hier:
Zur Information
Pathopic
HiPaKu
ZyPaKu
Projektinfos
PathoPic - Projekt- und Copyright-Info
About
Pathopic
HiPaKu
ZyPaKu
PathoPic – image database
/
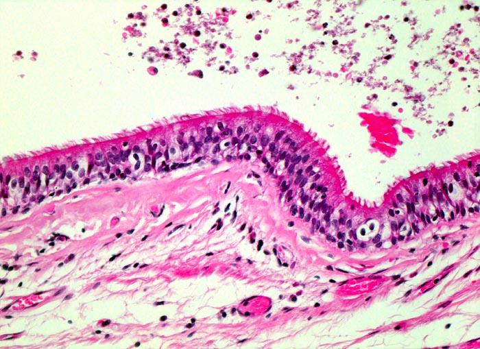
PathoPic ID 4713 - Bronchialschleimhaut
de
Diagnose
Bronchialschleimhaut
Diagnose Gruppe
Normalbefund
Topographie
Bronchus
Topographie Gruppe
Lunge, Mediastinum mit Thymus
Beschreibung
Mehrreihiges Flimmerepithel ohne Atypien. Unterhalb der Basalmembran lockeres subepitheliales Stroma mit vereinzelten Entzündungszellen.
Klinik
Transbronchiale Biopsie zur Abklärung eines Rundherdes.
Bilder Typ
Histologie
Vergrösserung
200
Alter
61
Geschlecht
männlich
Datum
Ersteintrag: 06.05.2002
CPS
·
©
2025 Institut für Pathologie Basel
/
Dr. med. Katharina Glatz-Krieger
.
·
v2.2