Wichtiger Sicherheitshinweis: Pathorama wurde zwischen dem 26. und 27. Dezember 2025 angegriffen. Falls Sie die Website in diesem Zeitraum besucht haben, lesen Sie bitte die wichtigen Informationen hier:
Zur Information

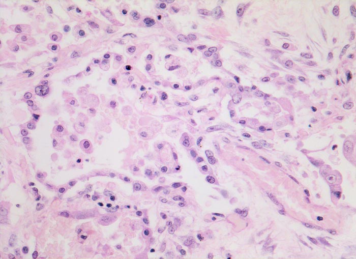
PathoPic – image database / PathoPic ID 4691 - Diffuser Alveolarschaden: Hyperplasie von Typ II Pneumozyten

de
Diagnose
Diffuser Alveolarschaden: Hyperplasie von Typ II Pneumozyten
Diagnose Gruppe
organspezifische Erkrankung
Topographie
Lunge
Topographie Gruppe
Lunge, Mediastinum mit Thymus
Beschreibung
In einem Versuch, die Alveolarwandauskleidung zu regenerieren, proliferieren die Typ II Pneumozyten. Die Pneumozyten zeigen reaktive Atypien (vergrösserte Kerne mit Nukleolen) und sind teilweise mehrkernig. Die Alveolarsepten sind ödematös verbreitert und enthalten proliferierte Fibroblasten. Zahlreiche Alveolarmakrophagen füllen die Alveolarlichtung aus.
Zusatzbefund
Makroskopischer Lungenbefund: schwere, wässrige und verfestigte dunkelrote Lungen aus denen sich nur wenig Flüssigkeit auspressen lässt.
Klinik
Hospitalisation wegen akuter nekrotisierender Pankreatitis. Am zweiten Hospitalisationstag entwickelt der Patient ein ARDS (Adult Respiratory Distress Syndrome) mit rasch progredienter Dyspnoe und Tachypnoe, sowie einer Hypoxämie, welche im Verlauf auf Sauerstoffgabe nicht mehr anspricht. Das Thoraxröntgenbild zeigt bilaterale diffuse Verschattungen. Der Patient verstirbt trotz Intensivmassnahmen am 9. Tag nach Spitaleintritt am Multiorganversagen.
Kommentar
Der Ersatz von flachen Typ I Pneumozyten durch kubische Typ II Pneumozyten stellt eine unspezifische Reaktion auf eine Schädigung der Lunge dar und findet sich häufig fokal in der Umgebung krankhafter Lungenveränderungen unterschiedlichster Natur. Die reaktiven Atypien der Alveolarzellen können maligne Prozesse imitieren und den Zytologen zu einer Fehldiagnose verleiten (Adenokarzinom).
Bilder Typ
Histologie
Vergrösserung
320
Alter
47
Geschlecht
männlich
Datum
Ersteintrag: 05.05.2002
Update: 27.04.2009