Wichtiger Sicherheitshinweis: Pathorama wurde zwischen dem 26. und 27. Dezember 2025 angegriffen. Falls Sie die Website in diesem Zeitraum besucht haben, lesen Sie bitte die wichtigen Informationen hier:
Zur Information

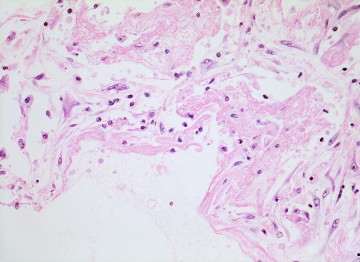
PathoPic – image database / PathoPic ID 4690 - Diffuser Alveolarschaden: hyaline Membranen

de
Diagnose
Diffuser Alveolarschaden: hyaline Membranen
Diagnose Gruppe
organspezifische Erkrankung
Topographie
Lunge
Topographie Gruppe
Lunge, Mediastinum mit Thymus
Beschreibung
Die Alveolarwand ist austapeziert mit einer homogenen, eosinophilen hyalinen Membran. Die hyaline Membran besteht aus fibrinreicher Ödemflüssigkeit gemischt mit Bestandteilen nekrotischer Epithelzellen. (= exsudatives Stadium der fibrosierenden Alveolitis). Die aufgelockerten Alveolarwände enthalten Fibroblasten und Makrophagen.
Zusatzbefund
Makroskopischer Lungenbefund: schwere, wässrige und verfestigte dunkelrote Lungen aus denen sich nur wenig Flüssigkeit auspressen lässt.
Klinik
Hospitalisation wegen akuter nekrotisierender Pankreatitis. Am zweiten Hospitalisationstag entwickelt der Patient ein ARDS (Adult Respiratory Distress Syndrome) mit rasch progredienter Dyspnoe und Tachypnoe, sowie einer Hypoxämie, welche im Verlauf auf Sauerstoffgabe nicht mehr anspricht. Das Thoraxröntgenbild zeigt bilaterale diffuse Verschattungen. Der Patient verstirbt trotz Intensivmassnahmen am 9. Tag nach Spitaleintritt am Multiorganversagen.
Kommentar
Bei der hyalinen Membranenkrankheit des Neugeborenen (IRDS) handelt es sich trotz morphologischer Ähnlichkeit mit den hyalinen Membranen der fibrosierenden Alveolitis um eine andere Erkrankung (mangelnde Surfactantbildung).
Bilder Typ
Histologie
Vergrösserung
200
Alter
47
Geschlecht
männlich
Datum
Ersteintrag: 05.05.2002
Update: 27.04.2009