Wichtiger Sicherheitshinweis: Pathorama wurde zwischen dem 26. und 27. Dezember 2025 angegriffen. Falls Sie die Website in diesem Zeitraum besucht haben, lesen Sie bitte die wichtigen Informationen hier:
Zur Information

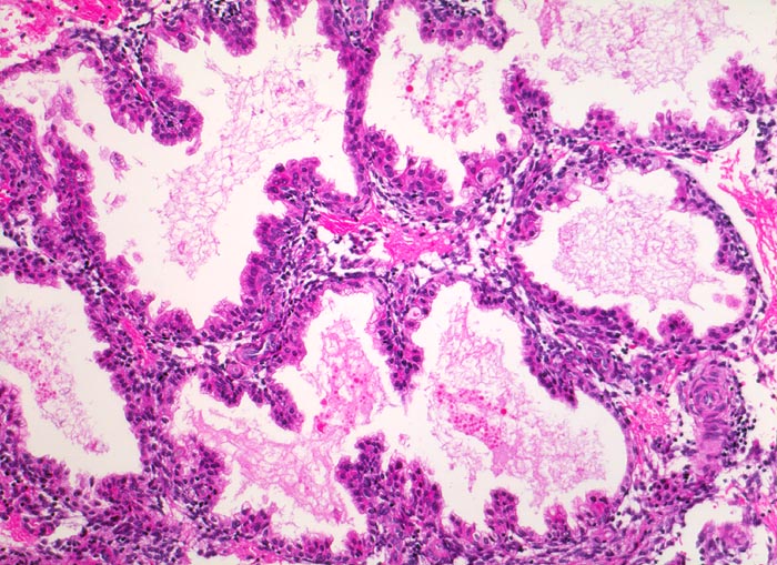
PathoPic – image database / PathoPic ID 4675 - Abortkurettage: Schwangerschaftsendometrium

de
Diagnose
Abortkurettage: Schwangerschaftsendometrium
Diagnose Gruppe
angeboren /genetisch/Missbildung
Topographie
Abortmaterial
Topographie Gruppe
Paidopathologie
Beschreibung
Das Schwangerschaftsendometrium besteht aus stark proliferierten hypersekretorischen ausgeweiteten Drüsen. Das Drüsenepithel bildet papilläre und pseudopapilläre in die Drüsenlumina hineinragende Proliferate. Die Zellkerne des Drüsenepithels sind hyperchromatisch und polymorph (sogenanntes Arias Stella Phänomen).
Klinik
Missed abortion in der 11. Schwangerschaftswoche, sonographisch entsprechend der 9. Schwangerschaftswoche.
Bilder Typ
Histologie
Vergrösserung
200
Alter
33
Geschlecht
unbekannt
Datum
Ersteintrag: 06.10.2002