Wichtiger Sicherheitshinweis: Pathorama wurde zwischen dem 26. und 27. Dezember 2025 angegriffen. Falls Sie die Website in diesem Zeitraum besucht haben, lesen Sie bitte die wichtigen Informationen hier:
Zur Information

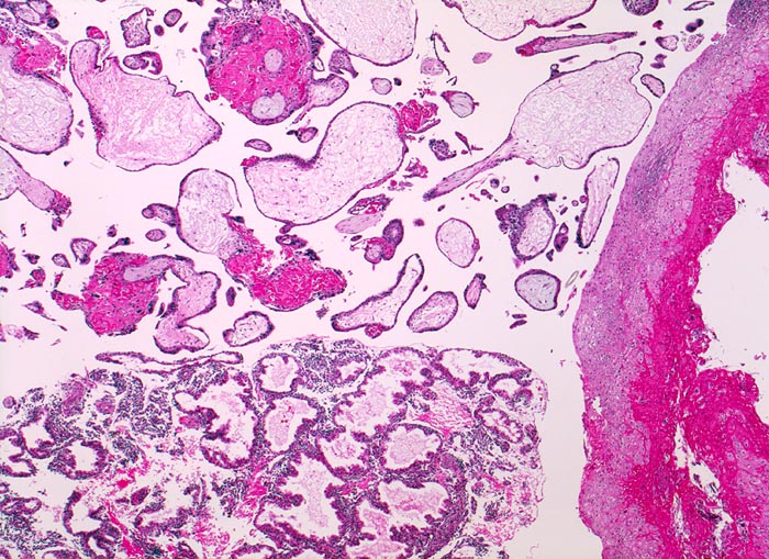
PathoPic – image database / PathoPic ID 4672 - Abortkurettage

de
Diagnose
Abortkurettage
Diagnose Gruppe
angeboren /genetisch/Missbildung
Topographie
Abortmaterial
Topographie Gruppe
Paidopathologie
Beschreibung
Schwangerschaftsendometrium mit hypersekretorischen Drüsen. Deziduafragment mit Einblutungen. Plazentarzotten mit Zeichen der Retention ( hydropisches Zottenstroma, Fibrinablagerungen).
Klinik
Missed abortion in der 11. Schwangerschaftswoche, sonographisch entsprechend der 9. Schwangerschaftswoche.
Kommentar
Plumpe Zotten mit hydropischem Stroma ohne Gefässe und flaches Trophoblastepithel sind vereinbar mit einer Windmole (=Windei). Differentialdiagnostisch könnten die beobachteten Veränderungen auch retentionsbedingt sein.
Bilder Typ
Histologie
Vergrösserung
25
Alter
33
Geschlecht
unbekannt
Datum
Ersteintrag: 20.07.2002