Wichtiger Sicherheitshinweis:
Pathorama wurde zwischen dem
26. und 27. Dezember 2025
angegriffen. Falls Sie die Website in diesem Zeitraum besucht haben, lesen Sie bitte die wichtigen Informationen hier:
Zur Information
Pathopic
HiPaKu
ZyPaKu
Projektinfos
PathoPic - Projekt- und Copyright-Info
About
Pathopic
HiPaKu
ZyPaKu
PathoPic – image database
/
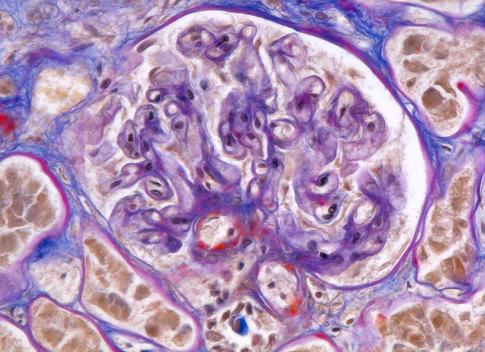
PathoPic ID 4647 - Arteriolosklerose
de
Diagnose
Arteriolosklerose
Diagnose Gruppe
Systemerkrankung/Immunpathologie
Topographie
Niere
Topographie Gruppe
Niere, Harnwege
Beschreibung
Arteriolosklerose von Vas afferens und efferens.
Zusatzbefund
fein granulierte Nierenoberfläche und fokale vaskuläre Narben
Klinik
Diabetes mellitus Typ II und arterielle Hypertonie seit 10 Jahren. Leichte Proteinurie.
Bilder Typ
Histologie
Vergrösserung
320
Alter
74
Geschlecht
unbekannt
Datum
Ersteintrag: 05.05.2002
CPS
·
©
2025 Institut für Pathologie Basel
/
Dr. med. Katharina Glatz-Krieger
.
·
v2.2