Wichtiger Sicherheitshinweis: Pathorama wurde zwischen dem 26. und 27. Dezember 2025 angegriffen. Falls Sie die Website in diesem Zeitraum besucht haben, lesen Sie bitte die wichtigen Informationen hier:
Zur Information

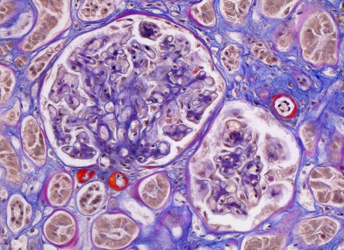
PathoPic – image database / PathoPic ID 4645 - Arteriolosklerose

de
Diagnose
Arteriolosklerose
Diagnose Gruppe
Systemerkrankung/Immunpathologie
Topographie
Niere
Topographie Gruppe
Niere, Harnwege
Beschreibung
Glomerulum mit homogenen, rotgefärbten Einlagerung in der Arteriolenwand mit Verschwinden der zellulären Gefässwandstrukturen von Vas afferens und efferens (typisch für Diabetes mellitus). Lumeneinengung der Arteriolen. Interstitielle Fibrose.
Zusatzbefund
fein granulierte Nierenoberfläche und fokale vaskuläre Narben
Klinik
Diabetes mellitus Typ II und arterielle Hypertonie seit 10 Jahren. Leichte Proteinurie.
Kommentar
Das hyaline Material besteht aus Plasmaproteinen, Lipiden und Basalmembranmaterial. Bei arterieller Hypertonie ist in der Regel nur das Vas afferens von der Arteriolosklerose betroffen. Bei Diabetes mellitus sowohl Vas afferens als auch Vas efferens.
Bilder Typ
Histologie
Vergrösserung
200
Alter
74
Geschlecht
unbekannt
Datum
Ersteintrag: 06.10.2002