Wichtiger Sicherheitshinweis: Pathorama wurde zwischen dem 26. und 27. Dezember 2025 angegriffen. Falls Sie die Website in diesem Zeitraum besucht haben, lesen Sie bitte die wichtigen Informationen hier:
Zur Information

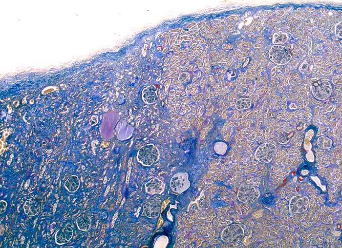
PathoPic – image database / PathoPic ID 4643 - Subinfarkt

de
Diagnose
Subinfarkt
Diagnose Gruppe
Systemerkrankung/Immunpathologie
Topographie
Niere
Topographie Gruppe
Niere, Harnwege
Beschreibung
In der linken Bildhälfte ischämisch bedingter Subinfarkt der Niere mit fokaler tubulärer Atrophie und interstitieller Fibrose. Aufgrund der tubulären Atrophie stehen die Glomerula etwas dichter zusammen. Schon in der Übersicht ist die schwere Arteriolosklerose erkennbar.
Klinik
Diabetes mellitus Typ II und arterielle Hypertonie seit 10 Jahren. Leichte Proteinurie.
Kommentar
Als Folge stenosierender Gefässveränderungen kommt es zu fokaler ischämischer Atrophie der Nierenrinde (Subinfarkt) gekennzeichnet durch eine tubuläre Atrophie und interstitielle Fibrose.
Bilder Typ
Histologie
Vergrösserung
25
Alter
74
Geschlecht
unbekannt
Datum
Ersteintrag: 05.05.2002