Wichtiger Sicherheitshinweis: Pathorama wurde zwischen dem 26. und 27. Dezember 2025 angegriffen. Falls Sie die Website in diesem Zeitraum besucht haben, lesen Sie bitte die wichtigen Informationen hier:
Zur Information

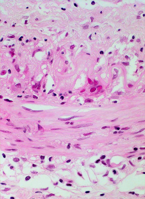
PathoPic – image database / PathoPic ID 4642 - Arteritis temporalis Horton (Riesenzellarteriitis)

de
Diagnose
Arteritis temporalis Horton (Riesenzellarteriitis)
Diagnose Gruppe
vaskulär / Durchblutungsstörung
Topographie
Arteria temporalis
Topographie Gruppe
Kardiovaskuläres System
Beschreibung
Die fibrosierte Intima, die Media und die Adventitia weisen ein lockeres Lymphohistiozytäres Entzündungsinfiltrat auf. Besonders zahlreich sind die Entzündungszellen im Bereich der fragmentierten Lamina elastica interna.
Klinik
Seit mehreren Monaten starke beidseitige Schläfenkopfschmerzen. Seit einigen Tagen zusätzlich symmetrische muskelkaterartige Schmerzen im Schulterbereich und am Gesäss. Druckschmerzhaftigkeit der Oberarme. Druckschmerzhafte und pulslose Temporalarterien. Stark erhöhte Blutsenkungsgeschwindigkeit. Biopsie der Temporalarterien und Einleitung einer Corticosteroidtherapie bei dringendem Verdacht auf Horton Arteritis.
Kommentar
Riesenzellen sind nur bei zwei Drittel aller Fälle nachweisbar. Da die Läsionen meist segmental verteilt sind, sollte eine Biopsie idealerweise ein 4-5cm langes Arterienteilstück umfassen. Das Gewebe wird vollständig eingebettet und mit Stufenschnitten untersucht.
Bilder Typ
Histologie
Vergrösserung
400
Alter
80
Geschlecht
männlich
Datum
Ersteintrag: 06.05.2002