Wichtiger Sicherheitshinweis:
Pathorama wurde zwischen dem
26. und 27. Dezember 2025
angegriffen. Falls Sie die Website in diesem Zeitraum besucht haben, lesen Sie bitte die wichtigen Informationen hier:
Zur Information
Pathopic
HiPaKu
ZyPaKu
Projektinfos
PathoPic - Projekt- und Copyright-Info
About
Pathopic
HiPaKu
ZyPaKu
PathoPic – image database
/
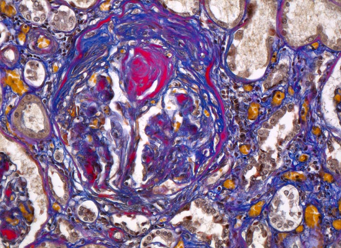
PathoPic ID 4636 - Diabetische noduläre Glomerulosklerose Kimmelstiel-Wilson
de
Diagnose
Diabetische noduläre Glomerulosklerose Kimmelstiel-Wilson
Diagnose Gruppe
Systemerkrankung/Immunpathologie
Topographie
Niere
Topographie Gruppe
Niere, Harnwege
Beschreibung
Partiell verödetes Glomerulum mit
zwiebelschalenartig geschichtetem mesangialem Knoten. Interstitielle Fibrose.
Klinik
Diabetes mellitus Typ II seit 20 Jahren.
Bilder Typ
Histologie
Vergrösserung
200
Alter
76
Geschlecht
unbekannt
Datum
Ersteintrag: 06.05.2002
CPS
·
©
2025 Institut für Pathologie Basel
/
Dr. med. Katharina Glatz-Krieger
.
·
v2.2