Wichtiger Sicherheitshinweis: Pathorama wurde zwischen dem 26. und 27. Dezember 2025 angegriffen. Falls Sie die Website in diesem Zeitraum besucht haben, lesen Sie bitte die wichtigen Informationen hier:
Zur Information

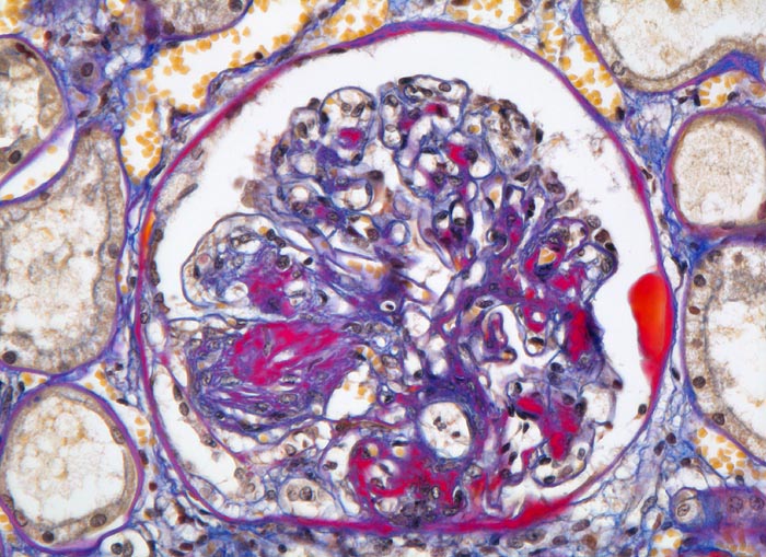
PathoPic – image database / PathoPic ID 4635 - Diabetische noduläre Glomerulosklerose Kimmelstiel-Wilson

de
Diagnose
Diabetische noduläre Glomerulosklerose Kimmelstiel-Wilson
Diagnose Gruppe
Systemerkrankung/Immunpathologie
Topographie
Niere
Topographie Gruppe
Niere, Harnwege
Beschreibung
Frühstadium der knotigen Ablagerung mit Hyperzellularität innerhalb des Knotens. Zusätzlich fokale mesangiale Matrixvermehrung. Das parietale Epithel der Bowman'schen Kapsel ist teilweise schaumzellig umgewandelt. Proteinablagerung in Form eines Kapseltropfens. Den Kapillarschlingen aufsitzende prominente Podozyten.
Klinik
Diabetes mellitus Typ II seit 20 Jahren.
Kommentar
Noduläre Glomerulosklerose: Zwiebelschalenartig geschichtete, azelluläre Knoten im Mesangium. Primär leichte Hyperzellularität der Noduli. Im Allgemeinen folgt die noduläre Glomerulosklerose der diffusen (fingerförmige Proteinablagerungen) Glomerulosklerose vor allem bei Typ I Diabetes. Die noduläre Glomerulosklerose ist aber nicht einfach eine besonders schwere Form der diffusen, sondern wahrscheinlich eine unabhängige Erkrankung mit anderer Pathogenese.
Bilder Typ
Histologie
Vergrösserung
320
Alter
76
Geschlecht
unbekannt
Datum
Ersteintrag: 06.05.2002