Wichtiger Sicherheitshinweis: Pathorama wurde zwischen dem 26. und 27. Dezember 2025 angegriffen. Falls Sie die Website in diesem Zeitraum besucht haben, lesen Sie bitte die wichtigen Informationen hier:
Zur Information

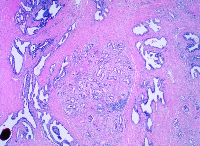
PathoPic – image database / PathoPic ID 4622 - Adenokarzinom der Prostata

de
Diagnose
Adenokarzinom der Prostata
Diagnose Gruppe
maligner Tumor
Topographie
Prostata
Topographie Gruppe
Genitalorgane, männlich
Beschreibung
Neben grossen normalen Prostatadrüsen mit grossen Lumina ist in der Übersicht ein gut umschriebener Herd dicht gelagerter mittelgrosser gut geformter Drüsen mit intraluminalem Sekret erkennbar. Innerhalb dieses Karzinomherdes sind keine normalen Drüsen erkennbar. Das Karzinom infiltriert also nicht das Normalgewebe. Dieser Tumorherd entspricht einem Gleason Grad 2.
Eingedicktes Sekret mit Ausbildung eines Corpus amylaceum in einer benignen Drüse.
Zusatzbefund
Leicht vergrösserte Prostata. Makroskopisch sind die Karzinomherde als peripher gelegene unscharf begrenzte gelbliche Herde erkennbar. Diese sind palpatorisch derber als das übrige Parenchym.
Klinik
Aufgrund eines deutlich erhöhten PSA Wertes anlässlich einer Screeninguntersuchung wurde die Prostata biopsiert. In 4 von 6 Stanzbiopsien von beiden Seiten waren Karzinominfiltrate nachweisbar. Daraufhin erfolgte eine radikale Prostatektomie.
Kommentar
Die Diagnose eines Prostatakarzinoms lässt sich bereits in der Übersichtsvergrösserung aufgrund der Ansammlung kleiner Drüsen stellen. Ein umschriebenes noduläres Infiltrat grösserer gut geformter Karzinomdrüsen, welches das normale Prostatagewebe intakt lässt, entspricht einem Gleason Grad 2.
Der histologische Grad eines Prostatakarzinoms korreliert mit dem Progressionsrisiko. Das Grading nach Gleason umfasst einen Wert zwischen 1 (gut differenziert) und 5 (wenig differenziert) und berücksichtigt die Architektur der Karzinomdrüsen. Prostatakarzinome sind oft heterogen bezüglich Differenzierung. Der Gleason Score wird ausgedrückt als Summe der beiden prädominanten Wachstumsmuster. Das häufigere Muster wird dabei zuerst genannt. Ein Gleason Score: 4+3=7 bedeutet, dass das Wachstumsmuster entsprechend einem Gleason Grad 4 dominiert. Bei einem Tumor, der zu mehr als 95% ein einheitliches Wachstumsmuster zeigt wird der entsprechende Gleason Grad zweimal gezählt. Bsp. 3+3=6.
Tumoren mit einem Gleason Score bis 6 sind hoch differenziert, mit einem Gleason Score 7 bis 8 mässig und einem Gleason Score 9 bis 10 schlecht differenziert.
Bilder Typ
Histologie
Vergrösserung
25
Alter
64
Geschlecht
männlich
Datum
Ersteintrag: 22.12.2002
Update: 30.07.2010