Wichtiger Sicherheitshinweis: Pathorama wurde zwischen dem 26. und 27. Dezember 2025 angegriffen. Falls Sie die Website in diesem Zeitraum besucht haben, lesen Sie bitte die wichtigen Informationen hier:
Zur Information

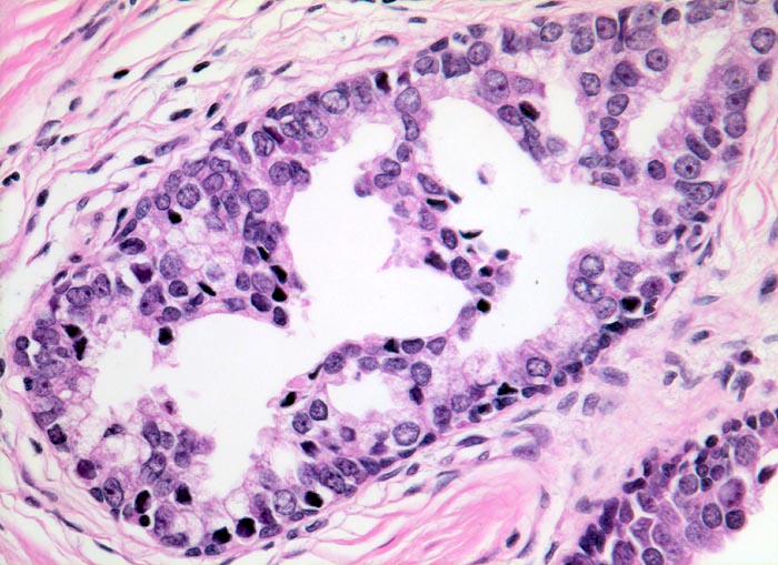
PathoPic – image database / PathoPic ID 4621 - prostatische intraepitheliale Neoplasie (high grade PIN)

de
Diagnose
prostatische intraepitheliale Neoplasie (high grade PIN)
Diagnose Gruppe
Präneoplasie/ Atypie/ Dignität?
Topographie
Prostata
Topographie Gruppe
Genitalorgane, männlich
Beschreibung
Grösserer Drüsenschlauch mit komplexen mikropapillären und kribriformen Epithelproliferationen. Die Epithelzellen haben vergrösserte atypische Kerne mit deutlich erkennbaren Nukleolen. Eine Basalzellschicht ist erkennbar.
Zusatzbefund
Leicht vergrösserte Prostata. Makroskopisch sind die Karzinomherde als peripher gelegene unscharf begrenzte gelbliche Herde erkennbar. Diese sind palpatorisch derber als das übrige Parenchym.
Klinik
Aufgrund eines deutlich erhöhten PSA Wertes anlässlich einer Screeninguntersuchung wurde die Prostata biopsiert. In 4 von 6 Stanzbiopsien von beiden Seiten waren Karzinominfiltrate nachweisbar. Daraufhin erfolgte eine radikale Prostatektomie.
Kommentar
Prostatische intraepitheliale Neoplasien sind gekennzeichnet durch grössere Drüsen mit deutlichen Zellatypien. Im Gegensatz zum Adenokarzinom lassen sich aber Basalzellen nachweisen. High grade PIN sind in der Umgebung fortgeschrittener Karzinome fast immer nachweisbar. Wenn in einer Prostatabiopsie lediglich high grade PIN, aber kein Karzinom nachweisbar ist, sollte rebiopsiert werden. Denn beim Vorliegen eines high grade PIN liegt in etwa 50% an anderer Stelle ein invasives Adenokarzinom vor.
Bilder Typ
Histologie
Vergrösserung
320
Alter
64
Geschlecht
männlich
Datum
Ersteintrag: 06.05.2002
Update: 30.07.2010