Wichtiger Sicherheitshinweis: Pathorama wurde zwischen dem 26. und 27. Dezember 2025 angegriffen. Falls Sie die Website in diesem Zeitraum besucht haben, lesen Sie bitte die wichtigen Informationen hier:
Zur Information

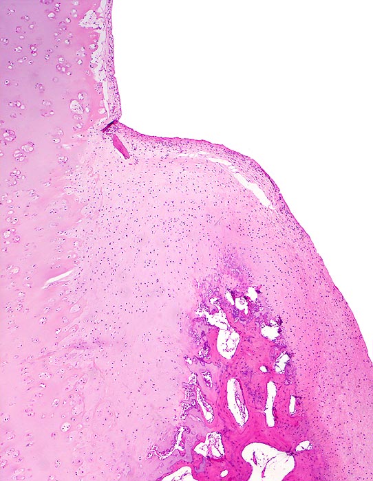
PathoPic – image database / PathoPic ID 4604 - Coxarthrose: Randosteophyt

de
Diagnose
Coxarthrose: Randosteophyt
Diagnose Gruppe
Trauma / mechanischer Schaden
Topographie
Knochen, Femurkopf
Topographie Gruppe
Knochen, Knorpel, Gelenke
Beschreibung
Übergang des residuellen hyalinen Gelenkknorpels in den Randosteophyten bedeckt mit neugebildetem Knorpel. Letzterer besteht nicht aus vollwertigem, Kollagen II-haltigem Knorpel, sondern aus Typ I und II-Kollagen. Daraus resultiert eine verminderte Belastbarkeit dieser neuen Gelenkfläche.
Klinik
74-jährige leicht adipöse Patientin mit Anlaufschmerz, belastungsabhängigem Schmerz und zunehmender Versteifung im Hüftgelenk. Im Röntgenbild des Hüftgelenks zeigen sich eine Gelenkspaltverschmälerung, subchondrale Osteolysen, Usuren und randständige Osteophyten.
Bilder Typ
Histologie
Vergrösserung
25
Alter
74
Geschlecht
unbekannt
Datum
Ersteintrag: 06.05.2002
Update: 25.01.2007